别名:STAT3; APRF; Signal transducer and activator of transcription 3; Acute-phase response factor应用:WB,IHC
反应种属:Human,Rat,Mouse
规格:50μl/100μl
| Description |
|---|
| The protein encoded by this gene is a member of the STAT protein family. In response to cytokines and growth factors, STAT family members are phosphorylated by the receptor associated kinases, and then form homo- or heterodimers that translocate to the cell nucleus where they act as transcription activators. |
| Specification | |
|---|---|
| Aliases | STAT3; APRF; Signal transducer and activator of transcription 3; Acute-phase response factor |
| Entrez GeneID | 6774 |
| Swissprot | P40763 |
| clone | 6F5 |
| WB Predicted band size | Calculated MW: 88 kDa; Observed MW: 79,86 kDa |
| Host/Isotype | Mouse IgG1 |
| Storage | Store at 4°C short term. Aliquot and store at -20°C long term. Avoid freeze/thaw cycles. |
| Species Reactivity | Human,Rat,Mouse |
| Immunogen | Purified recombinant protein expressed in E.coli. |
| Formulation | Liquid in PBS containing 50% glycerol, 0.5% BSA and 0.02% sodium azide, pH 7.3. |
| Application | |
|---|---|
| WB | 1/500-1/1000 |
| IHC | 1/50-1/100 |
![]() |
Western blot analysis of STAT3 in Hela, 3T3, PC-12 lysates using STAT3 antibody. |
![]() |
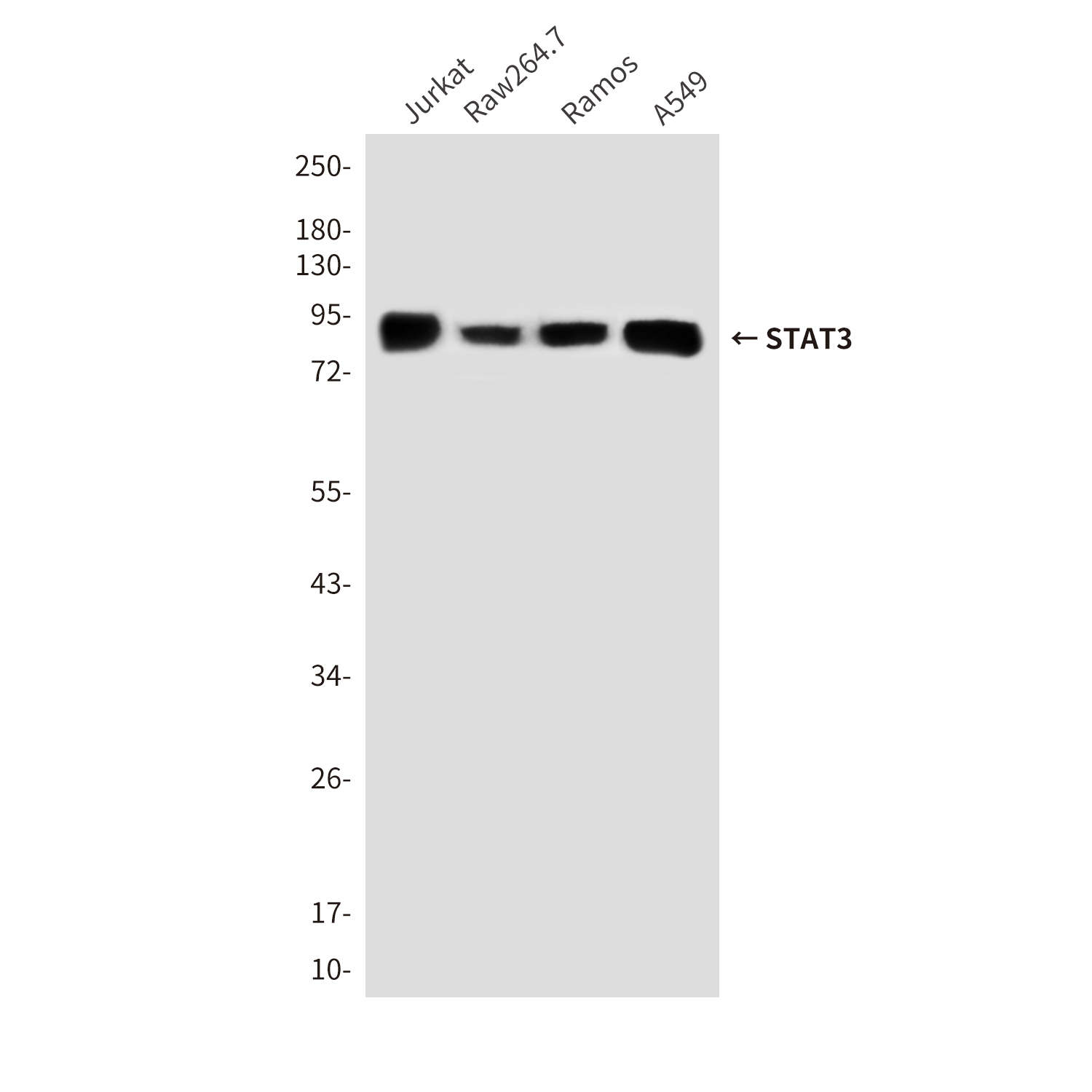
Western blot analysis of STAT3 in Jurkat, Raw264.7, Ramos, A549 lysates using Stat3 antibody. |
![]() |
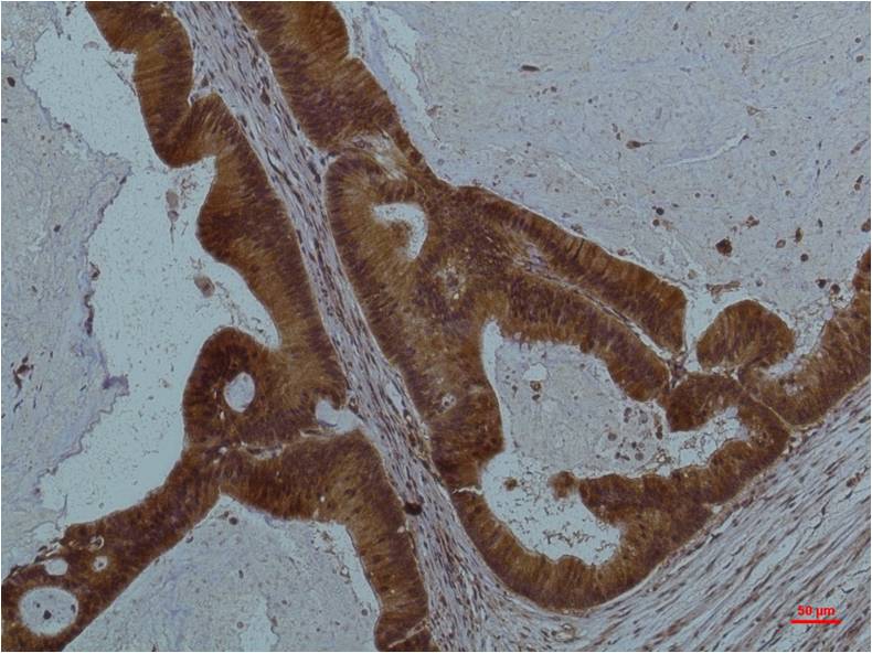
Immunohistochemistry analysis of paraffin-embedded Human Colon Caricnoma using STAT3 antibody.High-pressure and temperature Sodium Citrate pH 6.0 was used for antigen retrieval. |
本公司的所有产品仅用于科学研究或者工业应用等非医疗目的,不可用于人类或动物的临床诊断或治疗,非药用,非食用。
暂无评论
本公司的所有产品仅用于科学研究或者工业应用等非医疗目的,不可用于人类或动物的临床诊断或治疗,非药用,非食用。
中文



发表回复