别名:BIRC5; API4; IAP4; Baculoviral IAP repeat-containing protein 5; Apoptosis inhibitor 4; Apoptosis inhibitor survivin应用:WB,IHC
反应种属:Human,Rat
规格:50μl/100μl
| Description |
|---|
| Survivin is an apoptosis inhibitor that is expressed during the G2/M phase of the cell cycle. Associates with the microtubules of the mitotic spindle and any disruption results in the loss of apoptosis activity. May play a role in neoplasia. |
| Specification | |
|---|---|
| Aliases | BIRC5; API4; IAP4; Baculoviral IAP repeat-containing protein 5; Apoptosis inhibitor 4; Apoptosis inhibitor survivin |
| Entrez GeneID | 332 |
| Swissprot | O15392 |
| clone | 8A9 |
| WB Predicted band size | Calculated MW: 16 kDa; Observed MW: 16 kDa |
| Host/Isotype | Mouse IgG1 |
| Storage | Store at 4°C short term. Aliquot and store at -20°C long term. Avoid freeze/thaw cycles. |
| Species Reactivity | Human,Rat |
| Immunogen | Recombinant Protein of Survivin |
| Formulation | Liquid in PBS containing 50% glycerol, 0.5% BSA and 0.02% sodium azide, pH 7.3. |
| Application | |
|---|---|
| WB | 1/500-1/1000 |
| IHC | 1/50-1/100 |
![]() |
Western blot analysis of Survivin in COS7, Jurkat and Hela lysates using Survivin antibody. |
![]() |
Western blot analysis of Survivin in TF1, HL6 lysates using Survivin antibody. |
![]() |
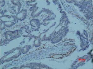
Immunohistochemistry analysis of paraffin-embedded Human colon caricnoma using Survivin antibody.High-pressure and temperature Sodium Citrate pH 6.0 was used for antigen retrieval. |
本公司的所有产品仅用于科学研究或者工业应用等非医疗目的,不可用于人类或动物的临床诊断或治疗,非药用,非食用。
暂无评论
本公司的所有产品仅用于科学研究或者工业应用等非医疗目的,不可用于人类或动物的临床诊断或治疗,非药用,非食用。
中文



发表回复