别名:TNF; TNFA; TNFSF2; Tumor necrosis factor; Cachectin; TNF-alpha; Tumor necrosis factor ligand superfamily member 2; TNF-a应用:WB,IHC
反应种属:Human,Rat,Mouse
规格:50μl/100μl
| Description |
|---|
| This gene encodes a multifunctional proinflammatory cytokine that belongs to the tumor necrosis factor (TNF) superfamily. This cytokine is mainly secreted by macrophages. It can bind to, and thus functions through its receptors TNFRSF1A/TNFR1 and TNFRSF1B/TNFBR. This cytokine is involved in the regulation of a wide spectrum of biological processes including cell proliferation, differentiation, apoptosis, lipid metabolism, and coagulation. This cytokine has been implicated in a variety of diseases, including autoimmune diseases, insulin resistance, and cancer. Knockout studies in mice also suggested the neuroprotective function of this cytokine. |
| Specification | |
|---|---|
| Aliases | TNF; TNFA; TNFSF2; Tumor necrosis factor; Cachectin; TNF-alpha; Tumor necrosis factor ligand superfamily member 2; TNF-a |
| Entrez GeneID | 7124 |
| Swissprot | P01375 |
| clone | 12G9 |
| WB Predicted band size | Calculated MW: 26 kDa; Observed MW: 17,25 kDa |
| Host/Isotype | Mouse IgG1 |
| Storage | Store at 4°C short term. Aliquot and store at -20°C long term. Avoid freeze/thaw cycles. |
| Species Reactivity | Human,Rat,Mouse |
| Immunogen | Purified recombinant protein expressed in E.coli. |
| Formulation | Liquid in PBS containing 50% glycerol, 0.5% BSA and 0.02% sodium azide, pH 7.3. |
| Application | |
|---|---|
| WB | 1/500-1/1000 |
| IHC | 1/50-1/100 |
![]() |
Western blot analysis of TNF alpha in Recombinant Human TNF a Protein using TNF alpha antibody. |
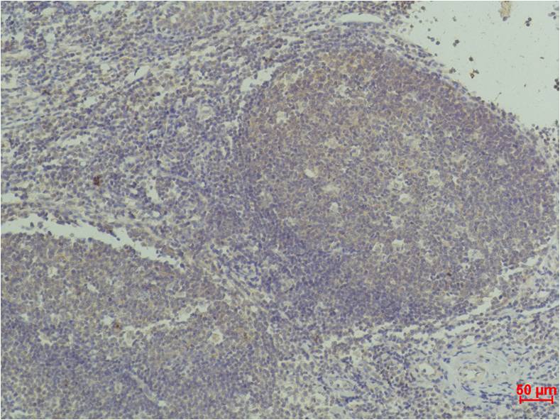
![]() |
Immunohistochemistry analysis of paraffin-embedded Human Tonsil Tissue using TNF alpha antibody.High-pressure and temperature Sodium Citrate pH 6.0 was used for antigen retrieval. |
本公司的所有产品仅用于科学研究或者工业应用等非医疗目的,不可用于人类或动物的临床诊断或治疗,非药用,非食用。
暂无评论
本公司的所有产品仅用于科学研究或者工业应用等非医疗目的,不可用于人类或动物的临床诊断或治疗,非药用,非食用。
中文


发表回复