别名:FLJ25987; MGC8385; ubiquitin B; Ubiquitin; UBCEP1; UBCEP2; RPS27A应用:WB,IHC
反应种属:Transfected
规格:50μl/100μl
| Description |
|---|
| Plays an important role in the ubiquitin-proteasome pathway. Ubiquitin can be covalently linked to many cellular proteins by the ubiquitination process, which targets proteins for degradation by the 26S proteasome. Three components are involved in the target protein-ubiquitin conjugation process. Ubiquitin is first activated by forming a thiolester complex with the activation component E1; the activated ubiquitin is subsequently transferred to the ubiquitin-carrier protein E2, then from E2 to ubiquitin ligase E3 for final delivery to the epsilon-NH2 of the target protein lysine residue. |
| Specification | |
|---|---|
| Aliases | FLJ25987; MGC8385; ubiquitin B; Ubiquitin; UBCEP1; UBCEP2; RPS27A |
| Entrez GeneID | 7314 |
| Swissprot | P0CG47 |
| clone | 1A8 |
| WB Predicted band size | Refer to figures |
| Host/Isotype | Mouse IgG1 |
| Storage | Store at 4°C short term. Aliquot and store at -20°C long term. Avoid freeze/thaw cycles. |
| Species Reactivity | Transfected |
| Immunogen | Synthetic peptide conjugated to KLH. |
| Formulation | Liquid in PBS containing 50% glycerol, 0.5% BSA and 0.02% sodium azide, pH 7.3. |
| Application | |
|---|---|
| WB | 1/500-1/1000 |
| IHC | 1/50-1/100 |
![]() |
Western blot analysis of Ubiquitin (1B8)in Hela lysates, 3T3 lysates, rat Brain lysates using Ubiquitin antibody. |
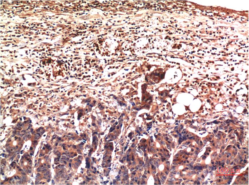
![]() |
Immunohistochemistry analysis of paraffin-embedded Human Breast Carcinoma Tissue using Ubiquitin antibody.High-pressure and temperature Sodium Citrate pH 6.0 was used for antigen retrieval. |
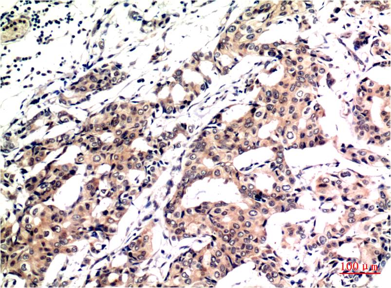
![]() |
Immunohistochemistry analysis of paraffin-embedded Human Stomach Carcinoma Tissue using Ubiquitin antibody. High-pressure and temperature Sodium Citrate pH 6.0 was used for antigen retrieval. |
本公司的所有产品仅用于科学研究或者工业应用等非医疗目的,不可用于人类或动物的临床诊断或治疗,非药用,非食用。
暂无评论
本公司的所有产品仅用于科学研究或者工业应用等非医疗目的,不可用于人类或动物的临床诊断或治疗,非药用,非食用。
中文



发表回复