别名:EIF4EBP1; Eukaryotic translation initiation factor 4E-binding protein 1; 4E-BP1; eIF4E-binding protein 1; Phosphorylated heat- and acid-stable protein regulated by insulin 1; PHAS-I应用:WB,IHC,IP
反应种属:Human,Mouse,Rat,Hamster
规格:50μl/100μl
| Description |
|---|
| Translation repressor protein 4E-BP1 (also known as PHAS-1) inhibits cap-dependent translation by binding to the translation initiation factor eIF4E. Hyperphosphorylation of 4E-BP1 disrupts this interaction and results in activation of cap-dependent translation. Both the PI3 kinase/Akt pathway and FRAP/mTOR kinase regulate 4E-BP1 activity. |
| Specification | |
|---|---|
| Aliases | EIF4EBP1; Eukaryotic translation initiation factor 4E-binding protein 1; 4E-BP1; eIF4E-binding protein 1; Phosphorylated heat- and acid-stable protein regulated by insulin 1; PHAS-I |
| Entrez GeneID | 1978 |
| Swissprot | Q13541 |
| WB Predicted band size | Calculated MW: 13 kDa; Observed MW: 15-20 kDa |
| Host/Isotype | Rabbit IgG |
| Storage | Store at 4°C short term. Aliquot and store at -20°C long term. Avoid freeze/thaw cycles. |
| Species Reactivity | Human,Mouse,Rat,Hamster |
| Immunogen | A synthetic peptide of human eIF4EBP1 |
| Formulation | 50mM Tris-Glycine(pH 7.4), 0.15M NaCl, 40% Glycerol, 0.01% Sodium azide and 0.05% BSA |
| Application | |
|---|---|
| IP | 1/20 |
| WB | 1/500-1/1000 |
| IHC | 1/50-1/100 |
![]() |
Western blot analysis of eIF4EBP1 in mouse heart lysates using 4E BP1 antibody. |
![]() |
Western blot analysis of eIF4EBP1 in Jurkat, C6, CHO-K1 lysates using eIF4EBP1 antibody. |
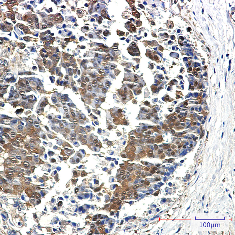
![]() |
Immunohistochemistry analysis of paraffin-embedded Human breast cancer using eIF4EBP1 antibody. High-pressure and temperature Sodium Citrate pH 6.0 was used for antigen retrieval. |
本公司的所有产品仅用于科学研究或者工业应用等非医疗目的,不可用于人类或动物的临床诊断或治疗,非药用,非食用。
暂无评论
本公司的所有产品仅用于科学研究或者工业应用等非医疗目的,不可用于人类或动物的临床诊断或治疗,非药用,非食用。
中文



发表回复