别名:Apoptosis regulator BAX; BAX; Bcl-2-like protein 4; BCL2-associated X protein; Bcl2-L-4; BCL2L4应用:WB,IHC,IP
反应种属:Human,Mouse,Rat
规格:50μl/100μl
| Description |
|---|
| Bax is a key component for cellular induced apoptosis through mitochondrial stress. Upon apoptotic stimulation, Bax forms oligomers and translocates from the cytosol to the mitochondrial membrane. Through interactions with pore proteins on the mitochondrial membrane, Bax increases the membrane’s permeability, which leads to the release of cytochrome c from mitochondria, activation of caspase-9 and initiation of the caspase activation pathway for apoptosis. |
| Specification | |
|---|---|
| Aliases | Apoptosis regulator BAX; BAX; Bcl-2-like protein 4; BCL2-associated X protein; Bcl2-L-4; BCL2L4 |
| Entrez GeneID | 581 |
| Swissprot | Q07812 |
| WB Predicted band size | Calculated MW: 21 kDa; Observed MW: 21 kDa |
| Host/Isotype | Rabbit IgG |
| Storage | Store at 4°C short term. Aliquot and store at -20°C long term. Avoid freeze/thaw cycles. |
| Species Reactivity | Human,Mouse,Rat |
| Immunogen | A synthetic peptide of human Bax |
| Formulation | 50mM Tris-Glycine(pH 7.4), 0.15M NaCl, 40% Glycerol, 0.01% Sodium azide and 0.05% BSA |
| Application | |
|---|---|
| IP | 1/20 |
| WB | 1/500-1/1000 |
| IHC | 1/50-1/100 |
![]() |
Western blot analysis of Bax in C6, 3T3, Hela lysates using Bax antibody. |
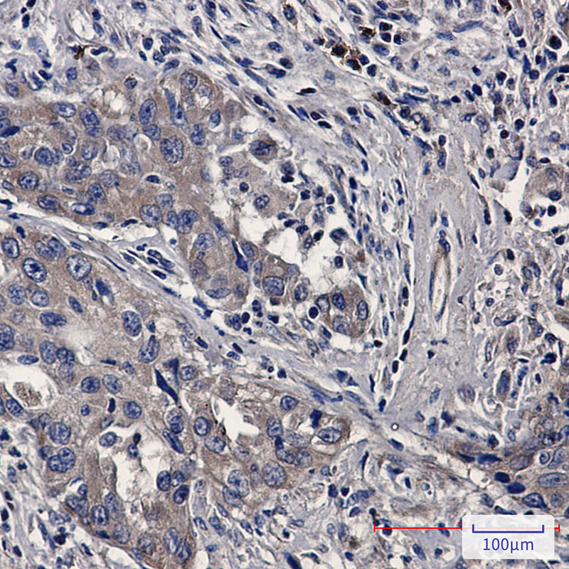
![]() |
Immunohistochemistry analysis of paraffin-embedded Human lung cancer using Bax antibody.High-pressure and temperature Sodium Citrate pH 6.0 was used for antigen retrieval. |
本公司的所有产品仅用于科学研究或者工业应用等非医疗目的,不可用于人类或动物的临床诊断或治疗,非药用,非食用。
暂无评论
本公司的所有产品仅用于科学研究或者工业应用等非医疗目的,不可用于人类或动物的临床诊断或治疗,非药用,非食用。
中文


发表回复