别名:BCL2; Apoptosis regulator Bcl-2应用:WB,IHC
反应种属:Human,Mouse
规格:50μl/100μl
| Description |
|---|
| This gene encodes an integral outer mitochondrial membrane protein that blocks the apoptotic death of some cells such as lymphocytes. Constitutive expression of BCL2, such as in the case of translocation of BCL2 to Ig heavy chain locus, is thought to be the cause of follicular lymphoma. |
| Specification | |
|---|---|
| Aliases | BCL2; Apoptosis regulator Bcl-2 |
| Entrez GeneID | 596 |
| Swissprot | P10415 |
| WB Predicted band size | Calculated MW: 26 kDa; Observed MW: 26 kDa |
| Host/Isotype | Rabbit IgG |
| Storage | Store at 4°C short term. Aliquot and store at -20°C long term. Avoid freeze/thaw cycles. |
| Species Reactivity | Human,Mouse |
| Immunogen | Recombinant protein of human Bcl-2 |
| Formulation | 50mM Tris-Glycine(pH 7.4), 0.15M NaCl, 40% Glycerol, 0.01% Sodium azide and 0.05% BSA |
| Application | |
|---|---|
| WB | 1/500-1/1000 |
| IHC | 1/50-1/100 |
![]() |
Western blot analysis of Bcl2 in MCF-7 lysates using Bcl2 antibody. |
![]() |
Western blot analysis of Bcl2 in K562, CHO-K1, 3T3, Hela lysates using Bcl2 antibody. |
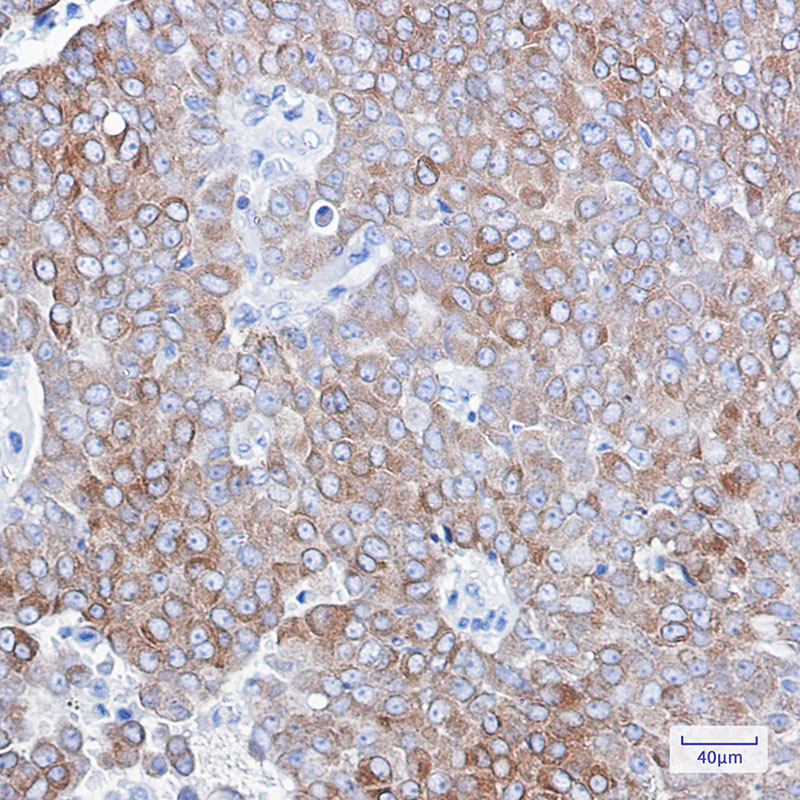
![]() |
Immunohistochemistry analysis of paraffin-embedded Human breast cancer using Bcl2 antibody. High-pressure and temperature Sodium Citrate pH 6.0 was used for antigen retrieval. |
本公司的所有产品仅用于科学研究或者工业应用等非医疗目的,不可用于人类或动物的临床诊断或治疗,非药用,非食用。
暂无评论
本公司的所有产品仅用于科学研究或者工业应用等非医疗目的,不可用于人类或动物的临床诊断或治疗,非药用,非食用。
中文



发表回复