别名:CTNNB1; CTNNB; OK/SW-cl.35; Catenin beta-1; Beta-catenin应用:WB,IHC,IP
反应种属:Human,Mouse,Rat,Hamster
规格:50μl/100μl
| Description |
|---|
| Beta-catenin is an adherens junction protein. Adherens junctions (AJs; also called the zonula adherens) are critical for the establishment and maintenance of epithelial layers, such as those lining organ surfaces. AJs mediate adhesion between cells, communicate a signal that neighboring cells are present, and anchor the actin cytoskeleton. In serving these roles, AJs regulate normal cell growth and behavior. |
| Specification | |
|---|---|
| Aliases | CTNNB1; CTNNB; OK/SW-cl.35; Catenin beta-1; Beta-catenin |
| Entrez GeneID | 1499 |
| Swissprot | P35222 |
| WB Predicted band size | Calculated MW: 85 kDa; Observed MW: 85 kDa |
| Host/Isotype | Rabbit IgG |
| Storage | Store at 4°C short term. Aliquot and store at -20°C long term. Avoid freeze/thaw cycles. |
| Species Reactivity | Human,Mouse,Rat,Hamster |
| Immunogen | A synthetic peptide of human beta Catenin |
| Formulation | 50mM Tris-Glycine(pH 7.4), 0.15M NaCl, 40% Glycerol, 0.01% Sodium azide and 0.05% BSA |
| Application | |
|---|---|
| IP | 1/20 |
| WB | 1/500-1/1000 |
| IHC | 1/50-1/100 |
![]() |
Western blot analysis of beta Catenin in mouse brain lysates using beta Catenin antibody. |
![]() |
Western blot analysis of beta Catenin in C6, CHO-K1, Hela lysates using beta Catenin antibody. |
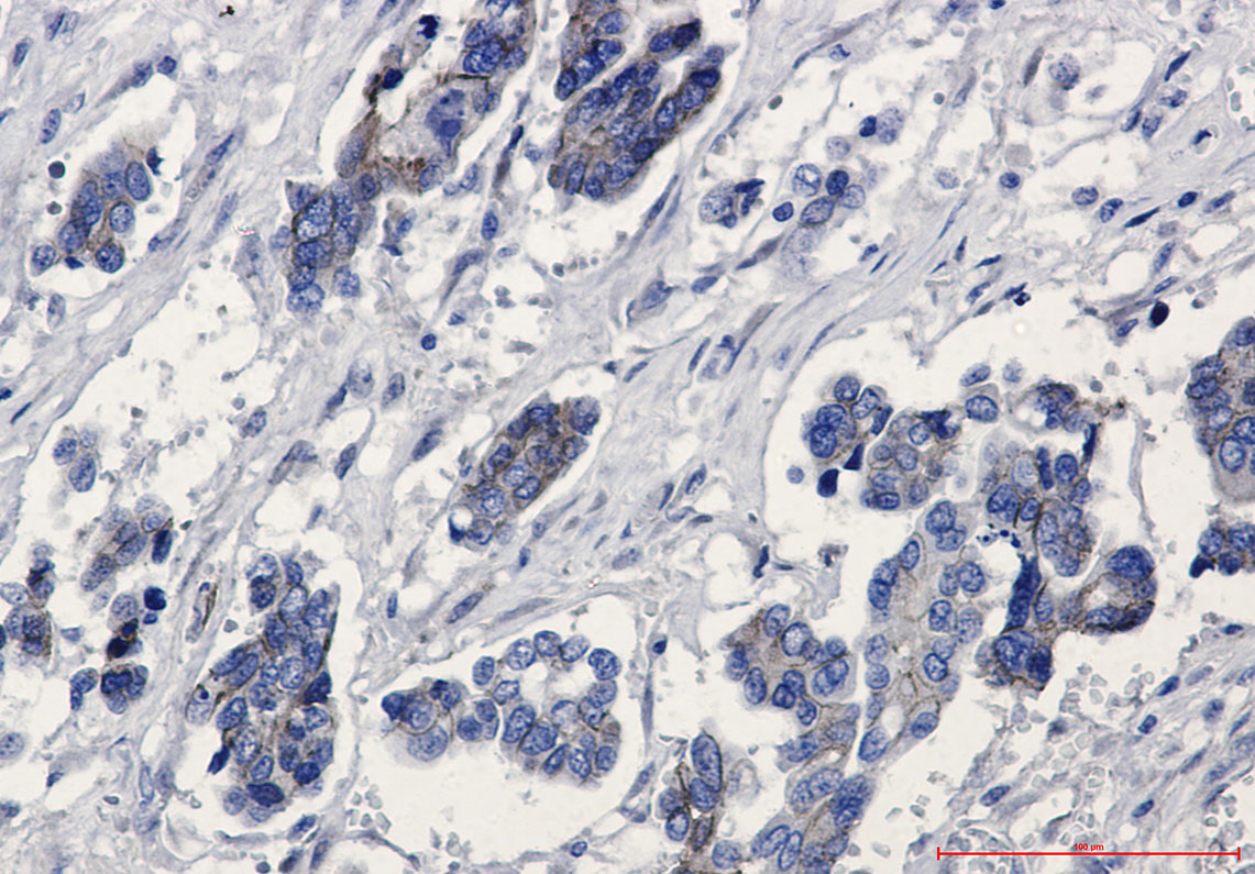
![]() |
Immunohistochemistry analysis of paraffin-embedded Human Cholangiocarcinoma using beta Catenin antibody. High-pressure and temperature Sodium Citrate pH 6.0 was used for antigen retrieval. |
本公司的所有产品仅用于科学研究或者工业应用等非医疗目的,不可用于人类或动物的临床诊断或治疗,非药用,非食用。
暂无评论
本公司的所有产品仅用于科学研究或者工业应用等非医疗目的,不可用于人类或动物的临床诊断或治疗,非药用,非食用。
中文



发表回复