别名:Calbindin应用:WB,IHC,IP
反应种属:Human,Mouse,Rat
规格:50μl/100μl
| Description |
|---|
| Buffers cytosolic calcium. May stimulate a membrane Ca2+-ATPase and a 3′,5′-cyclic nucleotide phosphodiesterase. |
| Specification | |
|---|---|
| Aliases | Calbindin |
| Entrez GeneID | 12307 |
| Swissprot | P12658 |
| WB Predicted band size | Calculated MW: 30 kDa; Observed MW: 30 kDa |
| Host/Isotype | Rabbit IgG |
| Storage | Store at 4°C short term. Aliquot and store at -20°C long term. Avoid freeze/thaw cycles. |
| Species Reactivity | Human,Mouse,Rat |
| Immunogen | Recombinant protein of mouse Calbindin |
| Formulation | 50mM Tris-Glycine(pH 7.4), 0.15M NaCl, 40% Glycerol, 0.01% Sodium azide and 0.05% BSA |
| Application | |
|---|---|
| IP | 1/20 |
| WB | 1/500-1/1000 |
| IHC | 1/50-1/100 |
![]() |
Western blot analysis of Calbindin in rat Brain lysates using Calbindin antibody. |
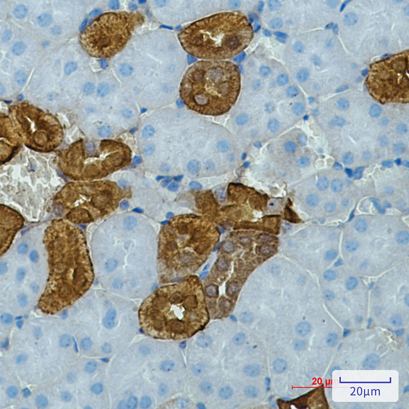
![]() |
Immunohistochemistry analysis of paraffin-embedded mouse kidney using Calbindin antibody.High-pressure and temperature Sodium Citrate pH 6.0 was used for antigen retrieval. |
本公司的所有产品仅用于科学研究或者工业应用等非医疗目的,不可用于人类或动物的临床诊断或治疗,非药用,非食用。
暂无评论
本公司的所有产品仅用于科学研究或者工业应用等非医疗目的,不可用于人类或动物的临床诊断或治疗,非药用,非食用。
中文


发表回复