别名:PKACA; PPNAD4应用:WB,IHC,ICC,IP
反应种属:Human,Mouse,Rat
规格:50μl/100μl
| Description |
|---|
| Phosphorylates a large number of substrates in the cytoplasm and the nucleus. Regulates the abundance of compartmentalized pools of its regulatory subunits through phosphorylation of PJA2 which binds and ubiquitinates these subunits, leading to their subsequent proteolysis. Phosphorylates CDC25B, ABL1, NFKB1, CLDN3, PSMC5/RPT6, PJA2, RYR2, RORA and VASP. RORA is activated by phosphorylation. Required for glucose-mediated adipogenic differentiation increase and osteogenic differentiation inhibition from osteoblasts. Involved in the regulation of platelets in response to thrombin and collagen; maintains circulating platelets in a resting state by phosphorylating proteins in numerous platelet inhibitory pathways when in complex with NF-kappa-B (NFKB1 and NFKB2) and I-kappa-B-alpha (NFKBIA), but thrombin and collagen disrupt these complexes and free active PRKACA stimulates platelets and leads to platelet aggregation by phosphorylating VASP. Prevents the antiproliferative and anti-invasive effects of alpha-difluoromethylornithine in breast cancer cells when activated. RYR2 channel activity is potentiated by phosphorylation in presence of luminal Ca2+, leading to reduced amplitude and increased frequency of store overload-induced Ca2+ release (SOICR) characterized by an increased rate of Ca2+ release and propagation velocity of spontaneous Ca2+ waves, despite reduced wave amplitude and resting cytosolic Ca2+. PSMC5/RPT6 activation by phosphorylation stimulates proteasome. Negatively regulates tight junctions (TJs) in ovarian cancer cells via CLDN3 phosphorylation. NFKB1 phosphorylation promotes NF-kappa-B p50-p50 DNA binding. Involved in embryonic development by down-regulating the Hedgehog (Hh) signaling pathway that determines embryo pattern formation and morphogenesis. Prevents meiosis resumption in prophase-arrested oocytes via CDC25B inactivation by phosphorylation. May also regulate rapid eye movement (REM) sleep in the pedunculopontine tegmental (PPT). Phosphorylates APOBEC3G and AICDA. Isoform 2 phosphorylates and activates ABL1 in sperm flagellum to promote spermatozoa capacitation. Phosphorylates HSF1; this phosphorylation promotes HSF1 nuclear localization and transcriptional activity upon heat shock (PubMed:21085490). |
| Specification | |
|---|---|
| Aliases | PKACA; PPNAD4 |
| Entrez GeneID | 5566 |
| Swissprot | P17612 |
| WB Predicted band size | Calculated MW: 41 kDa; Observed MW: 41 kDa |
| Host/Isotype | Rabbit IgG |
| Storage | Store at 4°C short term. Aliquot and store at -20°C long term. Avoid freeze/thaw cycles. |
| Species Reactivity | Human,Mouse,Rat |
| Immunogen | A synthetic peptide of human cAMP Protein Kinase Catalytic subunit |
| Formulation | 50mM Tris-Glycine(pH 7.4), 0.15M NaCl, 40% Glycerol, 0.01% Sodium azide and 0.05% BSA |
| Application | |
|---|---|
| IP | 1/20 |
| WB | 1/500-1/1000 |
| IHC | 1/50-1/100 |
| ICC | 1/50-1/200 |
![]() |
Western blot analysis of cAMP Protein Kinase Catalytic subunit in K562, C6, 3T3, Hela lysates using cAMP Protein Kinase Catalytic Subunit antibody. |
![]() |
Immunocytochemistry analysis of cAMP Protein Kinase Catalytic subunit (green) in Hela using cAMP Protein Kinase Catalytic subunit antibody,and DAPI(blue) |
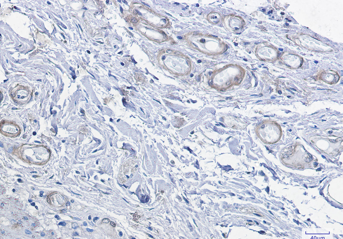
![]() |
Immunohistochemistry analysis of paraffin-embedded Human colon cancer using cAMP Protein Kinase Catalytic subunit antibody. High-pressure and temperature Sodium Citrate pH 6.0 was used for antigen retrieval. |
本公司的所有产品仅用于科学研究或者工业应用等非医疗目的,不可用于人类或动物的临床诊断或治疗,非药用,非食用。
暂无评论
本公司的所有产品仅用于科学研究或者工业应用等非医疗目的,不可用于人类或动物的临床诊断或治疗,非药用,非食用。
中文



发表回复