别名:ANPEP; APN; CD13; PEPN; Aminopeptidase N; AP-N; hAPN; Alanyl aminopeptidase; Aminopeptidase M; AP-M; Microsomal aminopeptidase; Myeloid plasma membrane glycoprotein CD13; gp150; CD antigen CD13应用:WB,IHC,ICC,IP
反应种属:Human,Rat
规格:50μl/100μl
| Description |
|---|
| Aminopeptidase N (APN, CD13) is a widely expressed, membrane-bound proteolytic enzyme that breaks down peptides during digestion, cleaves cell surface antigens during antigen presentation, and acts as a receptor for human viruses, including several coronaviruses.Plays a role in the final digestion of peptides generated from hydrolysis of proteins by gastric and pancreatic proteases. |
| Specification | |
|---|---|
| Aliases | ANPEP; APN; CD13; PEPN; Aminopeptidase N; AP-N; hAPN; Alanyl aminopeptidase; Aminopeptidase M; AP-M; Microsomal aminopeptidase; Myeloid plasma membrane glycoprotein CD13; gp150; CD antigen CD13 |
| Entrez GeneID | 290 |
| Swissprot | P15144 |
| WB Predicted band size | Calculated MW: 110 kDa; Observed MW: 160 kDa |
| Host/Isotype | Rabbit IgG |
| Storage | Store at 4°C short term. Aliquot and store at -20°C long term. Avoid freeze/thaw cycles. |
| Species Reactivity | Human,Rat |
| Immunogen | A synthetic peptide of human CD13 |
| Formulation | 50mM Tris-Glycine(pH 7.4), 0.15M NaCl, 40% Glycerol, 0.01% Sodium azide and 0.05% BSA |
| Application | |
|---|---|
| IP | 1/20 |
| WB | 1/500-1/1000 |
| IHC | 1/50-1/100 |
| ICC | 1/50-1/200 |
![]() |
Western blot analysis of CD13 in rat Brain lysates using CD13 antibody. |
![]() |
Immunocytochemistry analysis of CD13(green) in Hela using CD13 antibody,and DAPI(blue) |
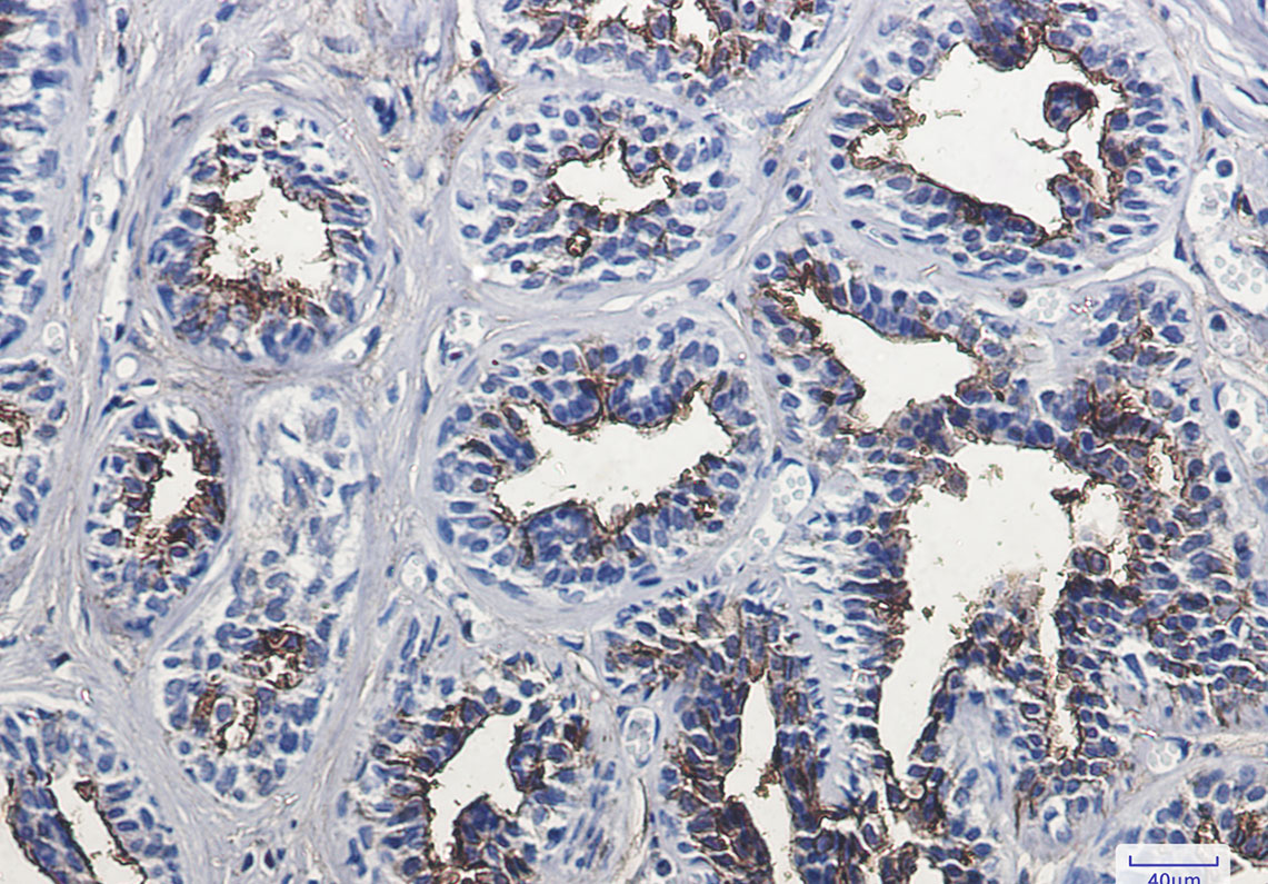
![]() |
Immunohistochemistry analysis of paraffin-embedded Human breast cancer using CD13 antibody. High-pressure and temperature Sodium Citrate pH 6.0 was used for antigen retrieval. |
本公司的所有产品仅用于科学研究或者工业应用等非医疗目的,不可用于人类或动物的临床诊断或治疗,非药用,非食用。
暂无评论
本公司的所有产品仅用于科学研究或者工业应用等非医疗目的,不可用于人类或动物的临床诊断或治疗,非药用,非食用。
中文



发表回复