别名:CDW1; DCAF2; Dtl; L2DTL; RAMP应用:WB,IHC
反应种属:Human
规格:50μl/100μl
| Description |
|---|
| Substrate-specific adapter of a DCX (DDB1-CUL4-X-box) E3 ubiquitin-protein ligase complex required for cell cycle control, DNA damage response and translesion DNA synthesis. The DCX(DTL) complex, also named CRL4(CDT2) complex, mediates the polyubiquitination and subsequent degradation of CDT1 and CDKN1A/p21(CIP1). |
| Specification | |
|---|---|
| Aliases | CDW1; DCAF2; Dtl; L2DTL; RAMP |
| Entrez GeneID | 51514 |
| Swissprot | Q9NZJ0 |
| WB Predicted band size | Calculated MW: 79 kDa; Observed MW: 79 kDa |
| Host/Isotype | Rabbit IgG |
| Storage | Store at 4°C short term. Aliquot and store at -20°C long term. Avoid freeze/thaw cycles. |
| Species Reactivity | Human |
| Immunogen | Recombinant protein of human CDT2 |
| Formulation | 50mM Tris-Glycine(pH 7.4), 0.15M NaCl, 40% Glycerol, 0.01% Sodium azide and 0.05% BSA |
| Application | |
|---|---|
| WB | 1/500-1/1000 |
| IHC | 1/50-1/100 |
![]() |
Western blot analysis of CDT2 in Hela lysates using CDT2 antibody. |
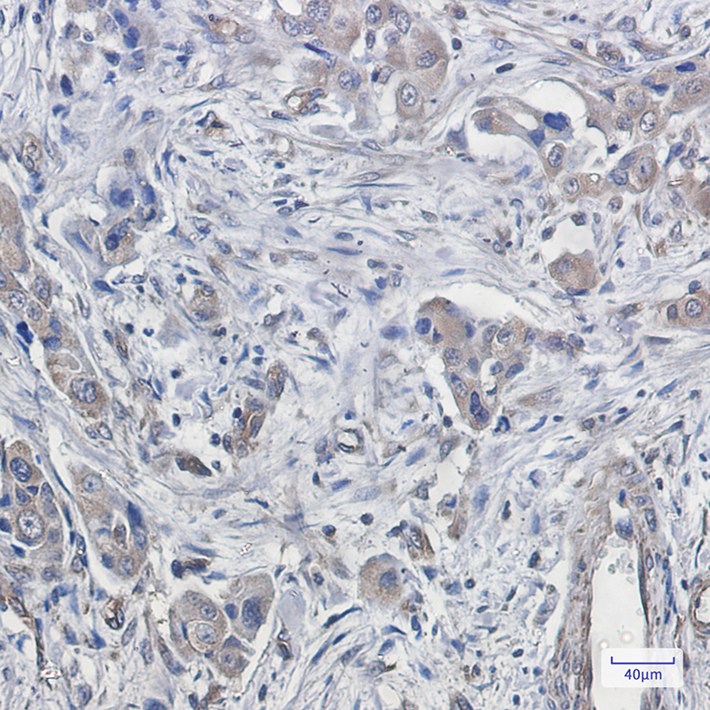
![]() |
Immunohistochemistry analysis of paraffin-embedded Human lung cancer using CDT2 antibody.High-pressure and temperature Sodium Citrate pH 6.0 was used for antigen retrieval. |
本公司的所有产品仅用于科学研究或者工业应用等非医疗目的,不可用于人类或动物的临床诊断或治疗,非药用,非食用。
暂无评论
本公司的所有产品仅用于科学研究或者工业应用等非医疗目的,不可用于人类或动物的临床诊断或治疗,非药用,非食用。
中文


发表回复