别名:STP; CIP4; HSTP; STOT; TRIP-10应用:WB,IHC
反应种属:Human,Mouse
规格:50μl/100μl
| Description |
|---|
| Required for translocation of GLUT4 to the plasma membrane in response to insulin signaling . Required to coordinate membrane tubulation with reorganization of the actin cytoskeleton during endocytosis. Binds to lipids such as phosphatidylinositol 4,5-bisphosphate and phosphatidylserine and promotes membrane invagination and the formation of tubules. Also promotes CDC42-induced actin polymerization by recruiting WASL/N-WASP which in turn activates the Arp2/3 complex. Actin polymerization may promote the fission of membrane tubules to form endocytic vesicles. Required for the formation of podosomes, actin-rich adhesion structures specific to monocyte-derived cells. May be required for the lysosomal retention of FASLG/FASL. |
| Specification | |
|---|---|
| Aliases | STP; CIP4; HSTP; STOT; TRIP-10 |
| Entrez GeneID | 9322 |
| Swissprot | Q15642 |
| WB Predicted band size | Calculated MW: 68 kDa; Observed MW: 80 kDa |
| Host/Isotype | Rabbit IgG |
| Storage | Store at 4°C short term. Aliquot and store at -20°C long term. Avoid freeze/thaw cycles. |
| Species Reactivity | Human,Mouse |
| Immunogen | A synthetic peptide of human Cip4 |
| Formulation | 50mM Tris-Glycine(pH 7.4), 0.15M NaCl, 40% Glycerol, 0.01% Sodium azide and 0.05% BSA |
| Application | |
|---|---|
| WB | 1/500-1/1000 |
| IHC | 1/50-1/100 |
![]() |
Western blot analysis of Cip4 in 3T3 lysates using CIP4 antibody. |
![]() |
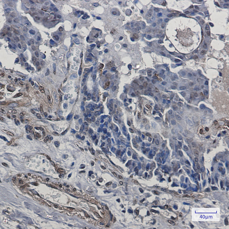
Immunohistochemistry analysis of paraffin-embedded Human breast cancer using Cip4 antibody.High-pressure and temperature Sodium Citrate pH 6.0 was used for antigen retrieval. |
本公司的所有产品仅用于科学研究或者工业应用等非医疗目的,不可用于人类或动物的临床诊断或治疗,非药用,非食用。
暂无评论
本公司的所有产品仅用于科学研究或者工业应用等非医疗目的,不可用于人类或动物的临床诊断或治疗,非药用,非食用。
中文


发表回复