别名:CLIC4; Chloride intracellular channel protein 4; Intracellular chloride ion channel protein p64H1应用:WB,IHC,ICC,IP
反应种属:Human,Mouse,Rat
规格:50μl/100μl
| Description |
|---|
| Can insert into membranes and form poorly selective ion channels that may also transport chloride ions. Channel activity depends on the pH. Membrane insertion seems to be redox-regulated and may occur only under oxydizing conditions. Promotes cell-surface expression of HRH3. Has alternate cellular functions like a potential role in angiogenesis or in maintaining apical-basolateral membrane polarity during mitosis and cytokinesis. Could also promote endothelial cell proliferation and regulate endothelial morphogenesis (tubulogenesis). |
| Specification | |
|---|---|
| Aliases | CLIC4; Chloride intracellular channel protein 4; Intracellular chloride ion channel protein p64H1 |
| Entrez GeneID | 25932 |
| Swissprot | Q9Y696 |
| WB Predicted band size | Calculated MW: 29 kDa; Observed MW: 29 kDa |
| Host/Isotype | Rabbit IgG |
| Storage | Store at 4°C short term. Aliquot and store at -20°C long term. Avoid freeze/thaw cycles. |
| Species Reactivity | Human,Mouse,Rat |
| Immunogen | A synthetic peptide of human CLIC4 |
| Formulation | 50mM Tris-Glycine(pH 7.4), 0.15M NaCl, 40% Glycerol, 0.01% Sodium azide and 0.05% BSA |
| Application | |
|---|---|
| IP | 1/20 |
| WB | 1/500-1/1000 |
| IHC | 1/50-1/100 |
| ICC | 1/50-1/200 |
![]() |
Western blot analysis of CLIC4 in rat Brain, C6, 3T3, Hela lysates using CLIC4 antibody. |
![]() |
Immunocytochemistry analysis of CLIC4(green) in Hela using CLIC4 antibody,and DAPI(blue) |
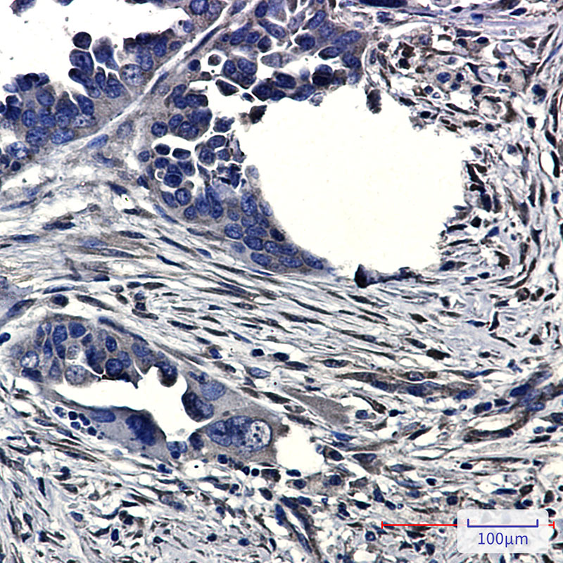
![]() |
Immunohistochemistry analysis of paraffin-embedded Human Cholangiocarcinoma using CLIC4 antibody. High-pressure and temperature Sodium Citrate pH 6.0 was used for antigen retrieval. |
本公司的所有产品仅用于科学研究或者工业应用等非医疗目的,不可用于人类或动物的临床诊断或治疗,非药用,非食用。
暂无评论
本公司的所有产品仅用于科学研究或者工业应用等非医疗目的,不可用于人类或动物的临床诊断或治疗,非药用,非食用。
中文



发表回复