别名:CST3; Cystatin-C; Cystatin-3; Gamma-trace; Neuroendocrine basic polypeptide; Post-gamma-globulin应用:WB,IHC
反应种属:Human,Mouse,Rat
规格:50μl/100μl
| Description |
|---|
| Cystatin C is a 14 kDa member of the Cystatin superfamily of cysteine protease inhibitors. Most cell types secrete Cystatin C. Cystatin C inhibits cathepsins, and thereby may function as a tumor suppressor by inhibiting cathepsin mediated tumor cell invasion. In addition, this tumor suppressor function can also be attributed to Cystatin C’s ability to antagonize TGF-β1 signaling. |
| Specification | |
|---|---|
| Aliases | CST3; Cystatin-C; Cystatin-3; Gamma-trace; Neuroendocrine basic polypeptide; Post-gamma-globulin |
| Entrez GeneID | 1471 |
| Swissprot | P01034 |
| WB Predicted band size | Calculated MW: 16 kDa; Observed MW: 13 kDa |
| Host/Isotype | Rabbit IgG |
| Storage | Store at 4°C short term. Aliquot and store at -20°C long term. Avoid freeze/thaw cycles. |
| Species Reactivity | Human,Mouse,Rat |
| Immunogen | Recombinant protein of human Cystatin C |
| Formulation | 50mM Tris-Glycine(pH 7.4), 0.15M NaCl, 40% Glycerol, 0.01% Sodium azide and 0.05% BSA |
| Application | |
|---|---|
| WB | 1/500-1/1000 |
| IHC | 1/50-1/100 |
![]() |
Western blot analysis of Cystatin C in rat lung lysates using Cystatin C antibody. |
![]() |
Western blot analysis of Cystatin C in K562, 3T3 lysates using Cystatin C antibody. |
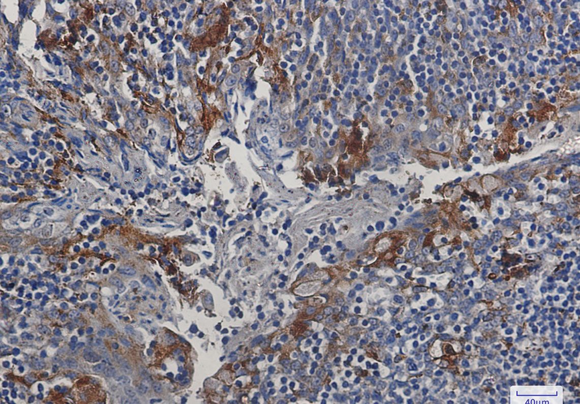
![]() |
Immunohistochemistry analysis of paraffin-embedded Human tonsil using Cystatin C antibody. High-pressure and temperature Sodium Citrate pH 6.0 was used for antigen retrieval. |
本公司的所有产品仅用于科学研究或者工业应用等非医疗目的,不可用于人类或动物的临床诊断或治疗,非药用,非食用。
暂无评论
本公司的所有产品仅用于科学研究或者工业应用等非医疗目的,不可用于人类或动物的临床诊断或治疗,非药用,非食用。
中文



发表回复