别名:PPP1R1B; DARPP32; Protein phosphatase 1 regulatory subunit 1B; DARPP-32; Dopamine- and cAMP-regulated neuronal phosphoprotein应用:WB,IHC,IP
反应种属:Human,Mouse,Rat
规格:50μl/100μl
| Description |
|---|
| DARPP-32 a member of the protein phosphatase inhibitor 1 family. A dopamine- and cyclic AMP-regulated neuronal phosphoprotein. Both dopaminergic and glutamatergic (NMDA) receptor stimulation regulate the extent of DARPP32 phosphorylation, but in opposite directions. |
| Specification | |
|---|---|
| Aliases | PPP1R1B; DARPP32; Protein phosphatase 1 regulatory subunit 1B; DARPP-32; Dopamine- and cAMP-regulated neuronal phosphoprotein |
| Entrez GeneID | 84152 |
| Swissprot | Q9UD71 |
| WB Predicted band size | Calculated MW: 23 kDa; Observed MW: 32 kDa |
| Host/Isotype | Rabbit IgG |
| Storage | Store at 4°C short term. Aliquot and store at -20°C long term. Avoid freeze/thaw cycles. |
| Species Reactivity | Human,Mouse,Rat |
| Immunogen | A synthetic peptide of human DARPP32 |
| Formulation | 50mM Tris-Glycine(pH 7.4), 0.15M NaCl, 40% Glycerol, 0.01% Sodium azide and 0.05% BSA |
| Application | |
|---|---|
| IP | 1/20 |
| WB | 1/500-1/1000 |
| IHC | 1/50-1/100 |
![]() |
Western blot analysis of DARPP32 in mouse brain lysates using DARPP32 antibody. |
![]() |
Western blot analysis of DARPP32 in rat Brain lysates using DARPP32 antibody. |
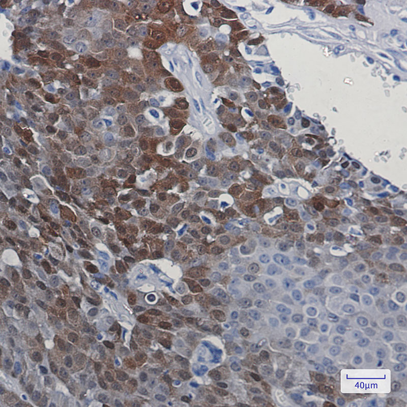
![]() |
Immunohistochemistry analysis of paraffin-embedded Human breast cancer using DARPP32 antibody. High-pressure and temperature Sodium Citrate pH 6.0 was used for antigen retrieval. |
本公司的所有产品仅用于科学研究或者工业应用等非医疗目的,不可用于人类或动物的临床诊断或治疗,非药用,非食用。
暂无评论
本公司的所有产品仅用于科学研究或者工业应用等非医疗目的,不可用于人类或动物的临床诊断或治疗,非药用,非食用。
中文



发表回复