别名:ACTDP; ADF; corn1; Destrin; DSN; Dstn; HEL32; Sid 23; sid23p应用:WB,IHC,IP
反应种属:Human,Rat
规格:50μl/100μl
| Description |
|---|
| Actin-depolymerizing protein. Severs actin filaments (F-actin) and binds to actin monomers (G-actin). Acts in a pH-independent manner. |
| Specification | |
|---|---|
| Aliases | ACTDP; ADF; corn1; Destrin; DSN; Dstn; HEL32; Sid 23; sid23p |
| Entrez GeneID | 11034 |
| Swissprot | P60981 |
| WB Predicted band size | Calculated MW: 19 kDa; Observed MW: 19 kDa |
| Host/Isotype | Rabbit IgG |
| Storage | Store at 4°C short term. Aliquot and store at -20°C long term. Avoid freeze/thaw cycles. |
| Species Reactivity | Human,Rat |
| Immunogen | A synthetic peptide of human Destrin |
| Formulation | 50mM Tris-Glycine(pH 7.4), 0.15M NaCl, 40% Glycerol, 0.01% Sodium azide and 0.05% BSA |
| Application | |
|---|---|
| IP | 1/20 |
| WB | 1/500-1/1000 |
| IHC | 1/50-1/100 |
![]() |
Western blot analysis of Destrin in C6 lysates using Destrin antibody. |
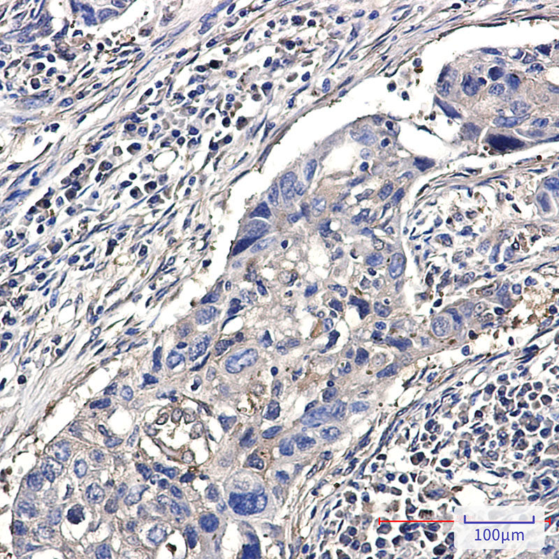
![]() |
Immunohistochemistry analysis of paraffin-embedded Human lung cancer using Destrin antibody.High-pressure and temperature Sodium Citrate pH 6.0 was used for antigen retrieval. |
本公司的所有产品仅用于科学研究或者工业应用等非医疗目的,不可用于人类或动物的临床诊断或治疗,非药用,非食用。
暂无评论
本公司的所有产品仅用于科学研究或者工业应用等非医疗目的,不可用于人类或动物的临床诊断或治疗,非药用,非食用。
中文


发表回复