别名:DKC1; NOLA4; H/ACA ribonucleoprotein complex subunit 4; CBF5 homolog; Dyskerin; Nopp140-associated protein of 57 kDa; Nucleolar protein NAP57; Nucleolar protein family A member 4; snoRNP protein DKC1应用:WB,IHC,ICC
反应种属:Human,Mouse,Rat
规格:50μl/100μl
| Description |
|---|
| Required for ribosome biogenesis and telomere maintenance. Probable catalytic subunit of H/ACA small nucleolar ribonucleoprotein (H/ACA snoRNP) complex, which catalyzes pseudouridylation of rRNA. This involves the isomerization of uridine such that the ribose is subsequently attached to C5, instead of the normal N1. |
| Specification | |
|---|---|
| Aliases | DKC1; NOLA4; H/ACA ribonucleoprotein complex subunit 4; CBF5 homolog; Dyskerin; Nopp140-associated protein of 57 kDa; Nucleolar protein NAP57; Nucleolar protein family A member 4; snoRNP protein DKC1 |
| Entrez GeneID | 1736 |
| Swissprot | O60832 |
| WB Predicted band size | Calculated MW: 58 kDa; Observed MW: 58 kDa |
| Host/Isotype | Rabbit IgG |
| Storage | Store at 4°C short term. Aliquot and store at -20°C long term. Avoid freeze/thaw cycles. |
| Species Reactivity | Human,Mouse,Rat |
| Immunogen | A synthetic peptide of human DKC1 |
| Formulation | 50mM Tris-Glycine(pH 7.4), 0.15M NaCl, 40% Glycerol, 0.01% Sodium azide and 0.05% BSA |
| Application | |
|---|---|
| WB | 1/500-1/1000 |
| IHC | 1/50-1/100 |
| ICC | 1/50-1/200 |
![]() |
Western blot analysis of DKC1 in K562, C6, 3T3, Hela lysates using DKC1 antibody. |
![]() |
Immunocytochemistry analysis of DKC1 (green) in K562 using DKC1 antibody,and DAPI(blue). |
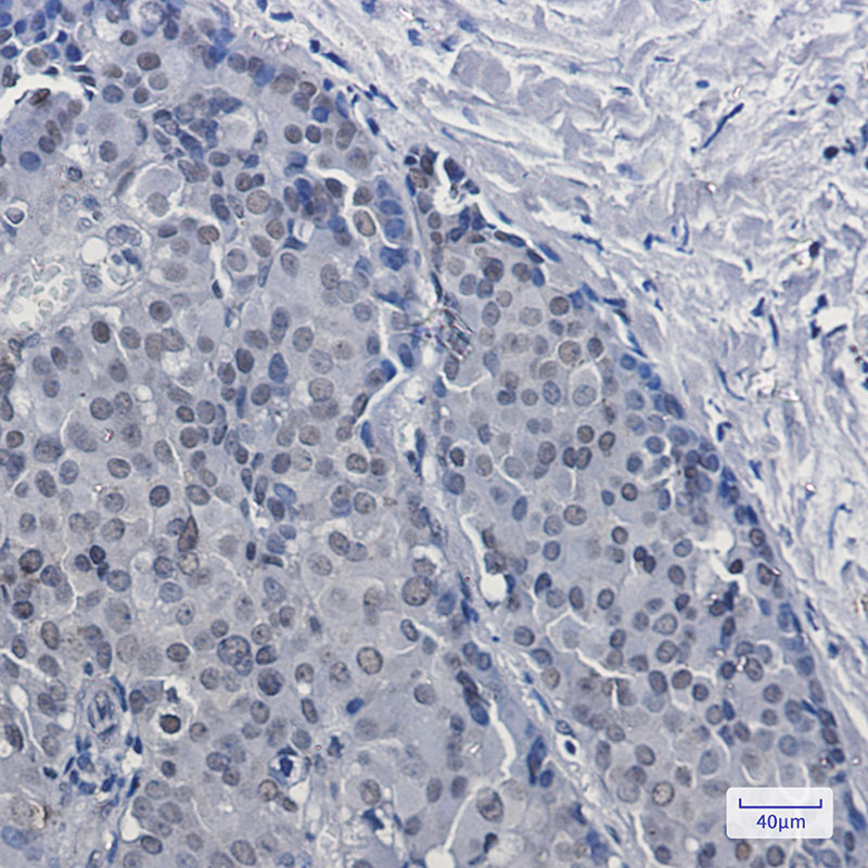
![]() |
Immunohistochemistry analysis of paraffin-embedded Human breast cancer tissue using DKC1 antibody. High-pressure and temperature Sodium Citrate pH 6.0 was used for antigen retrieval. |
本公司的所有产品仅用于科学研究或者工业应用等非医疗目的,不可用于人类或动物的临床诊断或治疗,非药用,非食用。
暂无评论
本公司的所有产品仅用于科学研究或者工业应用等非医疗目的,不可用于人类或动物的临床诊断或治疗,非药用,非食用。
中文



发表回复