别名:CW-1; TCTEL1; tctex-1应用:WB,IHC,ICC,IP
反应种属:Human,Mouse,Rat
规格:50μl/100μl
| Description |
|---|
| This gene encodes a component of the motor complex, cytoplasmic dynein, which transports cellular cargo along microtubules in the cell. The encoded protein regulates the length of primary cilia which are sensory organelles found on the surface of cells. The protein encoded by this gene interacts with viral proteins, like the minor capsid protein L2 of human papillomavirus, and is required for dynein-mediated delivery of the viral nucleic acid to the host nucleus. This protein interacts with oncogenic nucleoporins to disrupt gene regulation and cause leukemic transformation. Pseudogenes of this gene are present on chromosomes 4 and 17. Alternative splicing results in multiple transcript variants encoding different isoforms. |
| Specification | |
|---|---|
| Aliases | CW-1; TCTEL1; tctex-1 |
| Entrez GeneID | 6993 |
| Swissprot | P63172 |
| WB Predicted band size | Calculated MW: 12 kDa; Observed MW: 12 kDa |
| Host/Isotype | Rabbit IgG |
| Storage | Store at 4°C short term. Aliquot and store at -20°C long term. Avoid freeze/thaw cycles. |
| Species Reactivity | Human,Mouse,Rat |
| Immunogen | Recombinant protein of human TCTEX-1 |
| Formulation | 50mM Tris-Glycine(pH 7.4), 0.15M NaCl, 40% Glycerol, 0.01% Sodium azide and 0.05% BSA |
| Application | |
|---|---|
| IP | 1/20 |
| WB | 1/500-1/1000 |
| IHC | 1/50-1/100 |
| ICC | 1/50-1/200 |
![]() |
Western blot analysis of TCTEX1 in 3T3, C6 lysates using TCTEX1 antibody. |
![]() |
Western blot analysis of TCTEX1 in Hela, A549, HL-60 lysates using TCTEX1 antibody |
![]() |
Immunocytochemistry analysis of Dynein Light Chain Tctex Type 1 (green) in Hela using Dynein Light Chain Tctex Type 1 antibody,and DAPI(blue). |
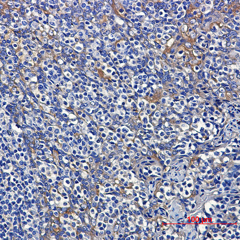
![]() |
Immunohistochemistry analysis of paraffin-embedded Human tonsil using TCTEX1 antibody.High-pressure and temperature Sodium Citrate pH 6.0 was used for antigen retrieval. |
本公司的所有产品仅用于科学研究或者工业应用等非医疗目的,不可用于人类或动物的临床诊断或治疗,非药用,非食用。
暂无评论
本公司的所有产品仅用于科学研究或者工业应用等非医疗目的,不可用于人类或动物的临床诊断或治疗,非药用,非食用。
中文




发表回复