别名:DDX48; EIF4A3; eIF4AIII; hNMP 265; NMP 265; NMP265; NUK34应用:WB,IHC,ICC,IP
反应种属:Human,Rat,Hamster
规格:50μl/100μl
| Description |
|---|
| ATP-dependent RNA helicase. Component of a splicing-dependent multiprotein exon junction complex (EJC) deposited at splice junction on mRNAs. The EJC is a dynamic structure consisting of a few core proteins and several more peripheral nuclear and cytoplasmic associated factors that join the complex only transiently either during EJC assembly or during subsequent mRNA metabolism. |
| Specification | |
|---|---|
| Aliases | DDX48; EIF4A3; eIF4AIII; hNMP 265; NMP 265; NMP265; NUK34 |
| Entrez GeneID | 9775 |
| Swissprot | P38919 |
| WB Predicted band size | Calculated MW: 47 kDa; Observed MW: 47 kDa |
| Host/Isotype | Rabbit IgG |
| Storage | Store at 4°C short term. Aliquot and store at -20°C long term. Avoid freeze/thaw cycles. |
| Species Reactivity | Human,Rat,Hamster |
| Immunogen | A synthetic peptide of human Eif4a3 |
| Formulation | 50mM Tris-Glycine(pH 7.4), 0.15M NaCl, 40% Glycerol, 0.01% Sodium azide and 0.05% BSA |
| Application | |
|---|---|
| IP | 1/20 |
| WB | 1/500-1/1000 |
| IHC | 1/50-1/100 |
| ICC | 1/50-1/200 |
![]() |
Western blot analysis of eIF4A3 in Hela, CHO-K1, C6 lysates using eIF4A3 antibody. |
![]() |
Immunocytochemistry analysis of Eif4a3 (green) in Hela using Eif4a3 antibody,and DAPI(blue) |
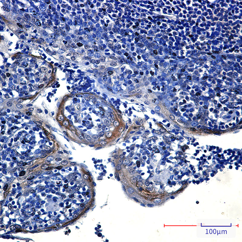
![]() |
Immunohistochemistry analysis of paraffin-embedded Human tonsil using Eif4a3 antibody.High-pressure and temperature Sodium Citrate pH 6.0 was used for antigen retrieval. |
本公司的所有产品仅用于科学研究或者工业应用等非医疗目的,不可用于人类或动物的临床诊断或治疗,非药用,非食用。
暂无评论
本公司的所有产品仅用于科学研究或者工业应用等非医疗目的,不可用于人类或动物的临床诊断或治疗,非药用,非食用。
中文



发表回复