别名:EIF4E; EIF4EL1; EIF4F; Eukaryotic translation initiation factor 4E; eIF-4E; eIF4E; eIF-4F 25 kDa subunit; mRNA cap-binding protein应用:WB,IHC,IP
反应种属:Human,Mouse,Rat
规格:50μl/100μl
| Description |
|---|
| eIF4E, a protein modulates translation of maternal mRNAs in early embryos before the onset of zygotic transcription. eIF4E also influences the overall rate of translation. eIF4E binds to the 7 methyl GTP cap structure of eukaryotic mRNAs. Phosphorylation of eIF4E on serine 209 regulates the affinity of this protein for the 7 methyl GTP cap and/or RNA. Phosphorylation also enhances the interaction of eIF4E with eIF4G, which form a complex known as eIF4F. eIF4E phosphorylation is correlated with increased translational rate in a number of cell types. |
| Specification | |
|---|---|
| Aliases | EIF4E; EIF4EL1; EIF4F; Eukaryotic translation initiation factor 4E; eIF-4E; eIF4E; eIF-4F 25 kDa subunit; mRNA cap-binding protein |
| Entrez GeneID | 1977 |
| Swissprot | P06730 |
| WB Predicted band size | Calculated MW: 25 kDa; Observed MW: 25 kDa |
| Host/Isotype | Rabbit IgG |
| Storage | Store at 4°C short term. Aliquot and store at -20°C long term. Avoid freeze/thaw cycles. |
| Species Reactivity | Human,Mouse,Rat |
| Immunogen | A synthetic peptide of human eIF4E |
| Formulation | 50mM Tris-Glycine(pH 7.4), 0.15M NaCl, 40% Glycerol, 0.01% Sodium azide and 0.05% BSA |
| Application | |
|---|---|
| IP | 1/20 |
| WB | 1/500-1/1000 |
| IHC | 1/50-1/100 |
![]() |
Western blot analysis of eIF4E in K562, rat Brain, C6, 3T3, Hela lysates using eIF4E antibody. |
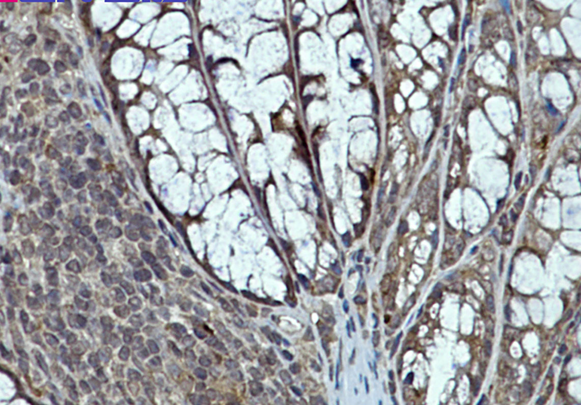
![]() |
Immunohistochemistry analysis of paraffin-embedded mouse colon using eIF4E antibody.High-pressure and temperature Sodium Citrate pH 6.0 was used for antigen retrieval. |
本公司的所有产品仅用于科学研究或者工业应用等非医疗目的,不可用于人类或动物的临床诊断或治疗,非药用,非食用。
暂无评论
本公司的所有产品仅用于科学研究或者工业应用等非医疗目的,不可用于人类或动物的临床诊断或治疗,非药用,非食用。
中文


发表回复