别名:Fumarate hydratase; mitochondrial; Fumarase应用:WB,IHC,ICC,IP
反应种属:Human,Mouse,Rat,Hamster
规格:50μl/100μl
| Description |
|---|
| Also acts as a tumor suppressor.MiscellaneousThere are 2 substrate-binding sites: the catalytic A site, and the non-catalytic B site that may play a role in the transfer of substrate or product between the active site and the solvent. Alternatively, the B site may bind allosteric effectors . |
| Specification | |
|---|---|
| Aliases | Fumarate hydratase; mitochondrial; Fumarase |
| Entrez GeneID | 2271 |
| Swissprot | P07954 |
| WB Predicted band size | Calculated MW: 55 kDa; Observed MW: 49 kDa |
| Host/Isotype | Rabbit IgG |
| Storage | Store at 4°C short term. Aliquot and store at -20°C long term. Avoid freeze/thaw cycles. |
| Species Reactivity | Human,Mouse,Rat,Hamster |
| Immunogen | Recombinant protein of human FH |
| Formulation | 50mM Tris-Glycine(pH 7.4), 0.15M NaCl, 40% Glycerol, 0.01% Sodium azide and 0.05% BSA |
| Application | |
|---|---|
| IP | 1/20 |
| WB | 1/500-1/1000 |
| IHC | 1/50-1/100 |
| ICC | 1/50-1/200 |
![]() |
Western blot analysis of FH/Fumarase in 3T3, Raw264.7 lysates using FH antibody. |
![]() |
Western blot analysis of FH/Fumarase in rat Brain, C6, CHO-K1, Hela lysates using FH/Fumarase antibody. |
![]() |
Immunocytochemistry analysis of FH/Fumarase (green) in Hela using FH/Fumarase antibody,and DAPI(blue). |
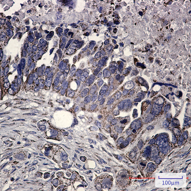
![]() |
Immunohistochemistry analysis of paraffin-embedded Human Cholangiocarcinoma using FH antibody. High-pressure and temperature Sodium Citrate pH 6.0 was used for antigen retrieval. |
本公司的所有产品仅用于科学研究或者工业应用等非医疗目的,不可用于人类或动物的临床诊断或治疗,非药用,非食用。
暂无评论
本公司的所有产品仅用于科学研究或者工业应用等非医疗目的,不可用于人类或动物的临床诊断或治疗,非药用,非食用。
中文




发表回复