别名:FMR1; Fragile X mental retardation protein 1; FMRP; Protein FMR-1应用:WB,IHC,ICC
反应种属:Human,Monkey
规格:50μl/100μl
| Description |
|---|
| The protein encoded by this gene binds RNA and is associated with polysomes. The encoded protein may be involved in mRNA trafficking from the nucleus to the cytoplasm. A trinucleotide repeat (CGG) in the 5′ UTR is normally found at 6-53 copies, but an expansion to 55-230 repeats is the cause of fragile X syndrome. |
| Specification | |
|---|---|
| Aliases | FMR1; Fragile X mental retardation protein 1; FMRP; Protein FMR-1 |
| Entrez GeneID | 2332 |
| Swissprot | Q06787 |
| WB Predicted band size | Calculated MW: 71 kDa; Observed MW: 70-80 kDa |
| Host/Isotype | Rabbit IgG |
| Storage | Store at 4°C short term. Aliquot and store at -20°C long term. Avoid freeze/thaw cycles. |
| Species Reactivity | Human,Monkey |
| Immunogen | A synthetic peptide of human FMRP |
| Formulation | 50mM Tris-Glycine(pH 7.4), 0.15M NaCl, 40% Glycerol, 0.01% Sodium azide and 0.05% BSA |
| Application | |
|---|---|
| WB | 1/500-1/1000 |
| IHC | 1/50-1/100 |
| ICC | 1/50-1/200 |
![]() |
Western blot analysis of FMRP in 293, U2OS, Jurkat, COS7 lysates using FMRP antibody. |
![]() |
Immunocytochemistry analysis of FMRP (green) in Hela using FMRP antibody,and DAPI(blue) |
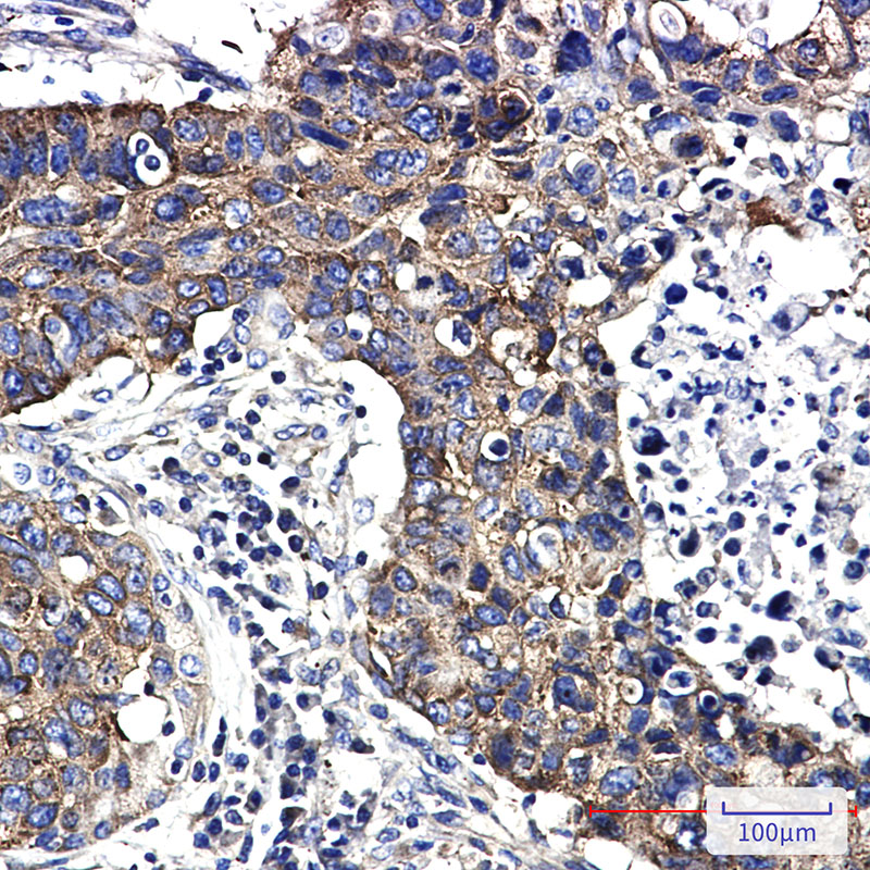
![]() |
Immunohistochemistry analysis of paraffin-embedded Human lung cancer using FMRP antibody.High-pressure and temperature Sodium Citrate pH 6.0 was used for antigen retrieval. |
本公司的所有产品仅用于科学研究或者工业应用等非医疗目的,不可用于人类或动物的临床诊断或治疗,非药用,非食用。
暂无评论
本公司的所有产品仅用于科学研究或者工业应用等非医疗目的,不可用于人类或动物的临床诊断或治疗,非药用,非食用。
中文



发表回复