别名:FOLR1; FOLR; Folate receptor alpha; FR-alpha; Adult folate-binding protein; FBP; Folate receptor 1; Folate receptor; adult; KB cells FBP; Ovarian tumor-associated antigen MOv18应用:WB,IHC
反应种属:Human
规格:50μl/100μl
| Description |
|---|
| Binds to folate and reduced folic acid derivatives and mediates delivery of 5-methyltetrahydrofolate to the interior of cells. |
| Specification | |
|---|---|
| Aliases | FOLR1; FOLR; Folate receptor alpha; FR-alpha; Adult folate-binding protein; FBP; Folate receptor 1; Folate receptor; adult; KB cells FBP; Ovarian tumor-associated antigen MOv18 |
| Entrez GeneID | 2348 |
| Swissprot | P15328 |
| WB Predicted band size | Calculated MW: 30 kDa; Observed MW: 40 kDa |
| Host/Isotype | Rabbit IgG |
| Storage | Store at 4°C short term. Aliquot and store at -20°C long term. Avoid freeze/thaw cycles. |
| Species Reactivity | Human |
| Immunogen | A synthetic peptide of human Folate Binding Protein |
| Formulation | 50mM Tris-Glycine(pH 7.4), 0.15M NaCl, 40% Glycerol, 0.01% Sodium azide and 0.05% BSA |
| Application | |
|---|---|
| WB | 1/500-1/1000 |
| IHC | 1/50-1/100 |
![]() |
Western blot analysis of Folate Binding Protein in Hela lysates using Folate Binding Protein antibody. |
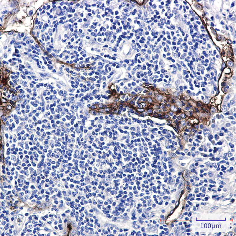
![]() |
Immunohistochemistry analysis of paraffin-embedded Human lung cancer using Folate Binding Protein antibody.High-pressure and temperature Sodium Citrate pH 6.0 was used for antigen retrieval. |
本公司的所有产品仅用于科学研究或者工业应用等非医疗目的,不可用于人类或动物的临床诊断或治疗,非药用,非食用。
暂无评论
本公司的所有产品仅用于科学研究或者工业应用等非医疗目的,不可用于人类或动物的临床诊断或治疗,非药用,非食用。
中文


发表回复