别名:FTO; KIAA1752; Alpha-ketoglutarate-dependent dioxygenase FTO; Fat mass and obesity-associated protein应用:WB,IHC
反应种属:Human
规格:50μl/100μl
| Description |
|---|
| Dioxygenase that repairs alkylated DNA and RNA by oxidative demethylation. Has highest activity towards single-stranded RNA containing 3-methyluracil, followed by single-stranded DNA containing 3-methylthymine. |
| Specification | |
|---|---|
| Aliases | FTO; KIAA1752; Alpha-ketoglutarate-dependent dioxygenase FTO; Fat mass and obesity-associated protein |
| Entrez GeneID | 79068 |
| Swissprot | Q9C0B1 |
| WB Predicted band size | Calculated MW: 58 kDa; Observed MW: 58 kDa |
| Host/Isotype | Rabbit IgG |
| Storage | Store at 4°C short term. Aliquot and store at -20°C long term. Avoid freeze/thaw cycles. |
| Species Reactivity | Human |
| Immunogen | A synthetic peptide of human FTO |
| Formulation | 50mM Tris-Glycine(pH 7.4), 0.15M NaCl, 40% Glycerol, 0.01% Sodium azide and 0.05% BSA |
| Application | |
|---|---|
| WB | 1/500-1/1000 |
| IHC | 1/50-1/100 |
![]() |
Western blot analysis of FTO in K562, Hela lysates using FTO antibody. |
![]() |
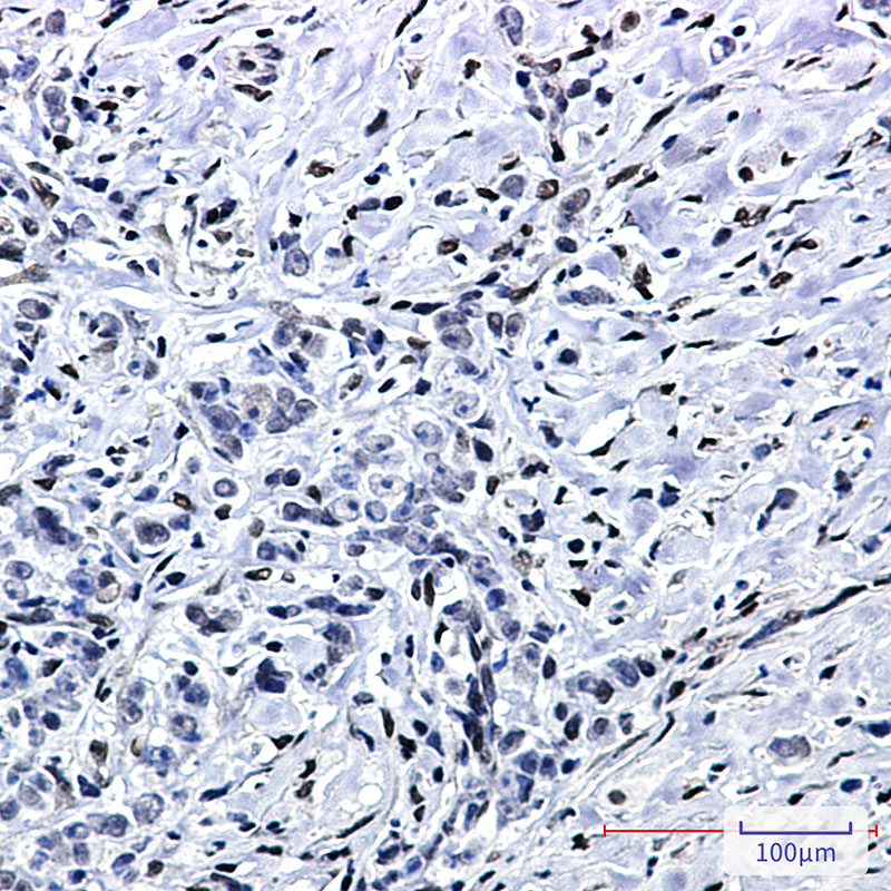
Immunohistochemistry analysis of paraffin-embedded Human breast cancer using FTO antibody.High-pressure and temperature Sodium Citrate pH 6.0 was used for antigen retrieval. |
本公司的所有产品仅用于科学研究或者工业应用等非医疗目的,不可用于人类或动物的临床诊断或治疗,非药用,非食用。
暂无评论
本公司的所有产品仅用于科学研究或者工业应用等非医疗目的,不可用于人类或动物的临床诊断或治疗,非药用,非食用。
中文


发表回复