别名:GTF2I; BAP135; WBSCR6; General transcription factor II-I; GTFII-I; TFII-I; Bruton tyrosine kinase-associated protein 135; BAP-135; BTK-associated protein 135; SRF-Phox1-interacting protein; SPIN; Williams-Beuren syndrome chromosomal region应用:WB,IHC,ICC
反应种属:Human
规格:50μl/100μl
| Description |
|---|
| Interacts with the basal transcription machinery by coordinating the formation of a multiprotein complex at the C-FOS promoter, and linking specific signal responsive activator complexes. |
| Specification | |
|---|---|
| Aliases | GTF2I; BAP135; WBSCR6; General transcription factor II-I; GTFII-I; TFII-I; Bruton tyrosine kinase-associated protein 135; BAP-135; BTK-associated protein 135; SRF-Phox1-interacting protein; SPIN; Williams-Beuren syndrome chromosomal region |
| Entrez GeneID | 2969 |
| Swissprot | P78347 |
| WB Predicted band size | Calculated MW: 112 kDa; Observed MW: 135,138 kDa |
| Host/Isotype | Rabbit IgG |
| Storage | Store at 4°C short term. Aliquot and store at -20°C long term. Avoid freeze/thaw cycles. |
| Species Reactivity | Human |
| Immunogen | A synthetic peptide of human TFII I |
| Formulation | 50mM Tris-Glycine(pH 7.4), 0.15M NaCl, 40% Glycerol, 0.01% Sodium azide and 0.05% BSA |
| Application | |
|---|---|
| WB | 1/500-1/1000 |
| IHC | 1/50-1/100 |
| ICC | 1/50-1/200 |
![]() |
Western blot analysis of TFII I in A549, HL-60 lysates using TFII I antibody. |
![]() |
Immunocytochemistry analysis of General Transcription Factor II I (green) in Hela using General Transcription Factor II I antibody,and DAPI(blue). |
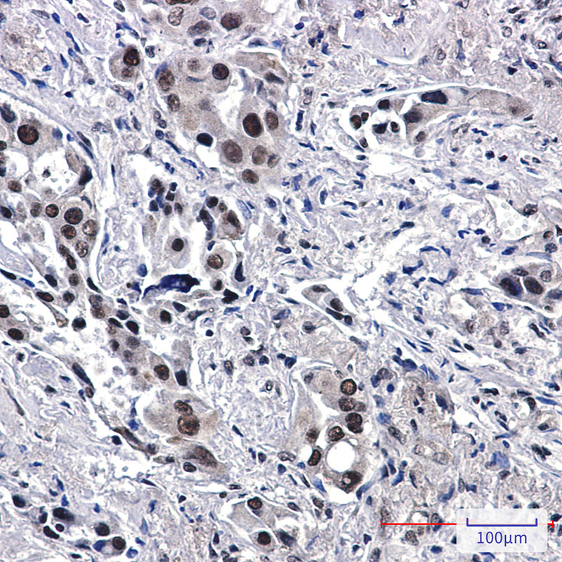
![]() |
Immunohistochemistry analysis of paraffin-embedded Human lung cancer tissue using TFII I antibody. High-pressure and temperature Sodium Citrate pH 6.0 was used for antigen retrieval. |
本公司的所有产品仅用于科学研究或者工业应用等非医疗目的,不可用于人类或动物的临床诊断或治疗,非药用,非食用。
暂无评论
本公司的所有产品仅用于科学研究或者工业应用等非医疗目的,不可用于人类或动物的临床诊断或治疗,非药用,非食用。
中文



发表回复