别名:GFA; GFAT; GFPT; MSLG; CMS12; GFAT1; CMSTA1; GFAT 1; GFAT1m; GFPT1L应用:WB,IHC,IP
反应种属:Human
规格:50μl/100μl
| Description |
|---|
| Controls the flux of glucose into the hexosamine pathway. Most likely involved in regulating the availability of precursors for N- and O-linked glycosylation of proteins. Regulates the circadian expression of clock genes ARNTL/BMAL1 and CRY1. |
| Specification | |
|---|---|
| Aliases | GFA; GFAT; GFPT; MSLG; CMS12; GFAT1; CMSTA1; GFAT 1; GFAT1m; GFPT1L |
| Entrez GeneID | 2673 |
| Swissprot | Q06210 |
| WB Predicted band size | Calculated MW: 79 kDa; Observed MW: 79 kDa |
| Host/Isotype | Rabbit IgG |
| Storage | Store at 4°C short term. Aliquot and store at -20°C long term. Avoid freeze/thaw cycles. |
| Species Reactivity | Human |
| Immunogen | A synthetic peptide of human GFPT1 |
| Formulation | 50mM Tris-Glycine(pH 7.4), 0.15M NaCl, 40% Glycerol, 0.01% Sodium azide and 0.05% BSA |
| Application | |
|---|---|
| IP | 1/20 |
| WB | 1/500-1/1000 |
| IHC | 1/50-1/100 |
![]() |
Western blot analysis of GFPT1 in Hela lysates using GFPT1 antibody. |
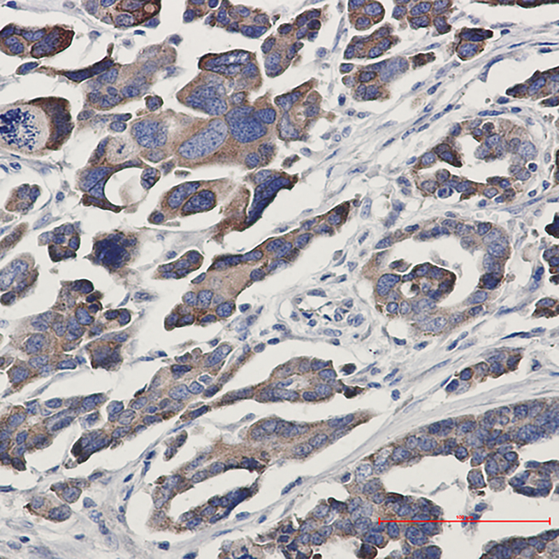
![]() |
Immunohistochemistry analysis of paraffin-embedded Human Cholangiocarcinoma using GFPT1 antibody.High-pressure and temperature Sodium Citrate pH 6.0 was used for antigen retrieval. |
本公司的所有产品仅用于科学研究或者工业应用等非医疗目的,不可用于人类或动物的临床诊断或治疗,非药用,非食用。
暂无评论
本公司的所有产品仅用于科学研究或者工业应用等非医疗目的,不可用于人类或动物的临床诊断或治疗,非药用,非食用。
中文


发表回复