别名:G6PD; Glucose-6-phosphate 1-dehydrogenase; G6PD应用:WB,IHC,IP
反应种属:Human,Rat
规格:50μl/100μl
| Description |
|---|
| Catalyzes the rate-limiting step of the oxidative pentose-phosphate pathway, which represents a route for the dissimilation of carbohydrates besides glycolysis. The main function of this enzyme is to provide reducing power (NADPH) and pentose phosphates for fatty acid and nucleic acid synthesis. |
| Specification | |
|---|---|
| Aliases | G6PD; Glucose-6-phosphate 1-dehydrogenase; G6PD |
| Entrez GeneID | 2539 |
| Swissprot | P11413 |
| WB Predicted band size | Calculated MW: 59 kDa; Observed MW: 59 kDa |
| Host/Isotype | Rabbit IgG |
| Storage | Store at 4°C short term. Aliquot and store at -20°C long term. Avoid freeze/thaw cycles. |
| Species Reactivity | Human,Rat |
| Immunogen | Recombinant protein of human Glucose 6 Phosphate Dehydrogenase |
| Formulation | 50mM Tris-Glycine(pH 7.4), 0.15M NaCl, 40% Glycerol, 0.01% Sodium azide and 0.05% BSA |
| Application | |
|---|---|
| IP | 1/20 |
| WB | 1/500-1/1000 |
| IHC | 1/50-1/100 |
![]() |
Western blot analysis of Glucose 6 Phosphate Dehydrogenase in K562, C6, Hela lysates using Glucose 6 Phosphate Dehydrogenase antibody. |
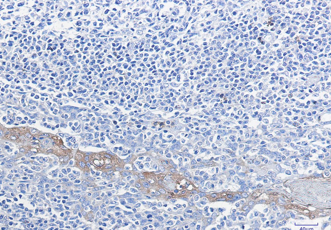
![]() |
Immunohistochemistry analysis of paraffin-embedded Human tonsil using Glucose 6 Phosphate Dehydrogenase antibody.High-pressure and temperature Sodium Citrate pH 6.0 was used for antigen retrieval. |
本公司的所有产品仅用于科学研究或者工业应用等非医疗目的,不可用于人类或动物的临床诊断或治疗,非药用,非食用。
暂无评论
本公司的所有产品仅用于科学研究或者工业应用等非医疗目的,不可用于人类或动物的临床诊断或治疗,非药用,非食用。
中文


发表回复