别名:guanine nucleotide binding protein (G protein); alpha 13; G13应用:WB,IHC
反应种属:Human
规格:50μl/100μl
| Description |
|---|
| Guanine nucleotide-binding proteins (G proteins) are involved as modulators or transducers in various transmembrane signaling systems (PubMed:15240885, PubMed:16787920, PubMed:16705036, PubMed:27084452). Activates effector molecule RhoA by binding and activating RhoGEFs (ARHGEF1/p115RhoGEF, ARHGEF11/PDZ-RhoGEF and ARHGEF12/LARG) (PubMed:15240885, PubMed:12515866). GNA13-dependent Rho signaling subsequently regulates transcription factor AP-1 (activating protein-1) . Promotes tumor cell invasion and metastasis by activating RhoA/ROCK signaling pathway (PubMed:16787920, PubMed:16705036, PubMed:27084452). Inhibits CDH1-mediated cell adhesion in process independent from Rho activation (PubMed:11976333). |
| Specification | |
|---|---|
| Aliases | guanine nucleotide binding protein (G protein); alpha 13; G13 |
| Entrez GeneID | 10672 |
| Swissprot | Q14344 |
| WB Predicted band size | Calculated MW: 44 kDa; Observed MW: 44 kDa |
| Host/Isotype | Rabbit IgG |
| Storage | Store at 4°C short term. Aliquot and store at -20°C long term. Avoid freeze/thaw cycles. |
| Species Reactivity | Human |
| Immunogen | A synthetic peptide of human G protein alpha 13 |
| Formulation | 50mM Tris-Glycine(pH 7.4), 0.15M NaCl, 40% Glycerol, 0.01% Sodium azide and 0.05% BSA |
| Application | |
|---|---|
| WB | 1/500-1/1000 |
| IHC | 1/50-1/100 |
![]() |
Western blot analysis of GNA13 [KO Validated] in Hela, Jurkat lysates using GNA13 antibody. |
![]() |
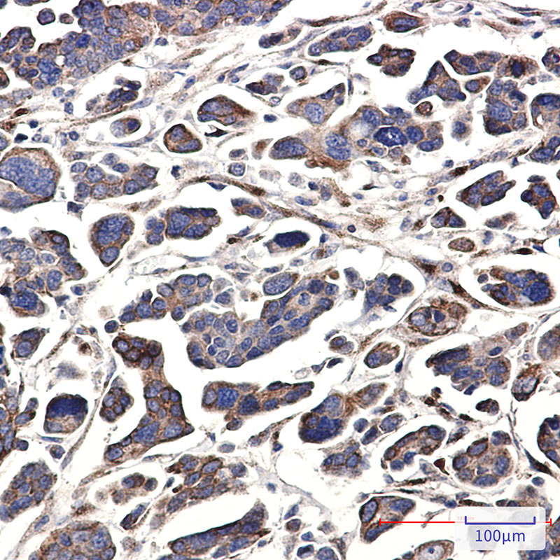
Immunohistochemistry analysis of paraffin-embedded Human Cholangiocarcinoma using G protein alpha 13 antibody.High-pressure and temperature Sodium Citrate pH 6.0 was used for antigen retrieval. |
本公司的所有产品仅用于科学研究或者工业应用等非医疗目的,不可用于人类或动物的临床诊断或治疗,非药用,非食用。
暂无评论
本公司的所有产品仅用于科学研究或者工业应用等非医疗目的,不可用于人类或动物的临床诊断或治疗,非药用,非食用。
中文


发表回复