别名:GSTP1; FAEES3; GST3; Glutathione S-transferase P; GST class-pi; GSTP1-1应用:WB,IHC,ICC
反应种属:Human,Mouse,Rat
规格:50μl/100μl
| Description |
|---|
| Conjugation of reduced glutathione to a wide number of exogenous and endogenous hydrophobic electrophiles. |
| Specification | |
|---|---|
| Aliases | GSTP1; FAEES3; GST3; Glutathione S-transferase P; GST class-pi; GSTP1-1 |
| Entrez GeneID | 2950 |
| Swissprot | P09211 |
| WB Predicted band size | Calculated MW: 23 kDa; Observed MW: 23 kDa |
| Host/Isotype | Rabbit IgG |
| Storage | Store at 4°C short term. Aliquot and store at -20°C long term. Avoid freeze/thaw cycles. |
| Species Reactivity | Human,Mouse,Rat |
| Immunogen | A synthetic peptide of human GST3/GST pi |
| Formulation | 50mM Tris-Glycine(pH 7.4), 0.15M NaCl, 40% Glycerol, 0.01% Sodium azide and 0.05% BSA |
| Application | |
|---|---|
| WB | 1/500-1/1000 |
| IHC | 1/50-1/100 |
| ICC | 1/50-1/200 |
![]() |
Western blot analysis of GST3/GST pi in K562, C6, 3T3, Hela lysates using GST3/GST pi antibody. |
![]() |
Immunocytochemistry analysis of GST3 (green) in A549 using GST3 antibody,and DAPI(blue). |
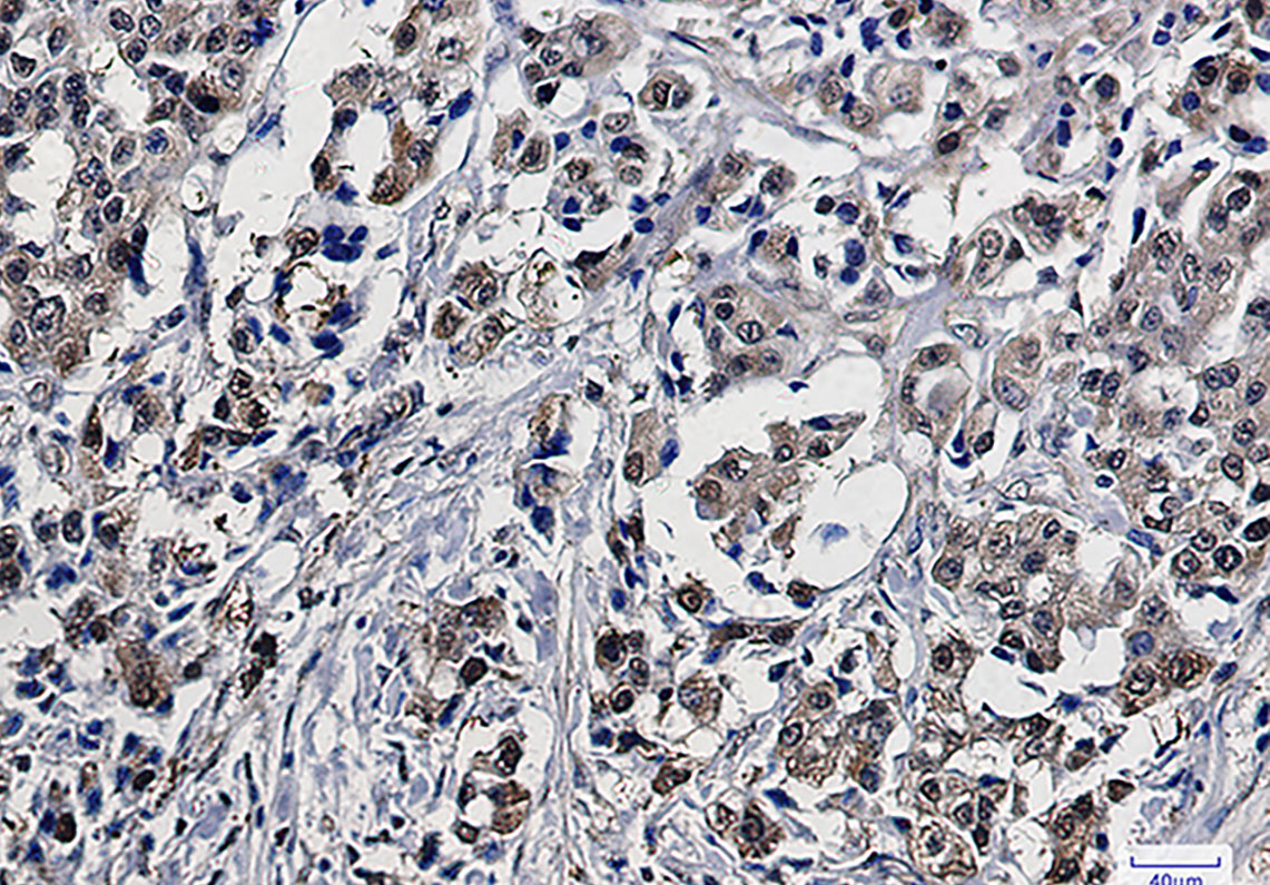
![]() |
Immunohistochemistry analysis of paraffin-embedded Human lung cancer tissue using GST3/GST pi antibody. High-pressure and temperature Sodium Citrate pH 6.0 was used for antigen retrieval. |
本公司的所有产品仅用于科学研究或者工业应用等非医疗目的,不可用于人类或动物的临床诊断或治疗,非药用,非食用。
暂无评论
本公司的所有产品仅用于科学研究或者工业应用等非医疗目的,不可用于人类或动物的临床诊断或治疗,非药用,非食用。
中文



发表回复