别名:HO-1; HSP32; HMOX1; ; HO1应用:WB,IHC,ICC,IP
反应种属:Human,Mouse,Rat
规格:50μl/100μl
| Description |
|---|
| Hemeoxygenase (HO) is the rate-limiting enzyme in the catabolism of heme that results in the release of carbon monoxide, iron, and biliverdin. The products of this enzymatic reaction play important biological roles in antioxidant, anti-inflammatory and cytoprotective functions. Hemeoxygenase comprises two isozymes, including the constitutively expressed HO-2 isozyme and the inducible HO-1 isozyme. |
| Specification | |
|---|---|
| Aliases | HO-1; HSP32; HMOX1; ; HO1 |
| Entrez GeneID | 3162 |
| Swissprot | P09601 |
| WB Predicted band size | Calculated MW: 33 kDa; Observed MW: 33 kDa |
| Host/Isotype | Rabbit IgG |
| Storage | Store at 4°C short term. Aliquot and store at -20°C long term. Avoid freeze/thaw cycles. |
| Species Reactivity | Human,Mouse,Rat |
| Immunogen | Recombinant protein of Heme Oxygenase 1 |
| Formulation | 50mM Tris-Glycine(pH 7.4), 0.15M NaCl, 40% Glycerol, 0.01% Sodium azide and 0.05% BSA |
| Application | |
|---|---|
| IP | 1/20 |
| WB | 1/500-1/1000 |
| IHC | 1/50-1/100 |
| ICC | 1/50-1/200 |
![]() |
Western blot analysis of Heme Oxygenase 1 in rat spleen lysates using Heme Oxygenase 1 antibody. |
![]() |
Western blot analysis of Heme Oxygenase 1 in mouse spleen lysates using Heme Oxygenase 1 antibody. |
![]() |
Western blot analysis of Heme Oxygenase 1 in U251MG, K562, A549 lysates using Heme Oxygenase 1 antibody |
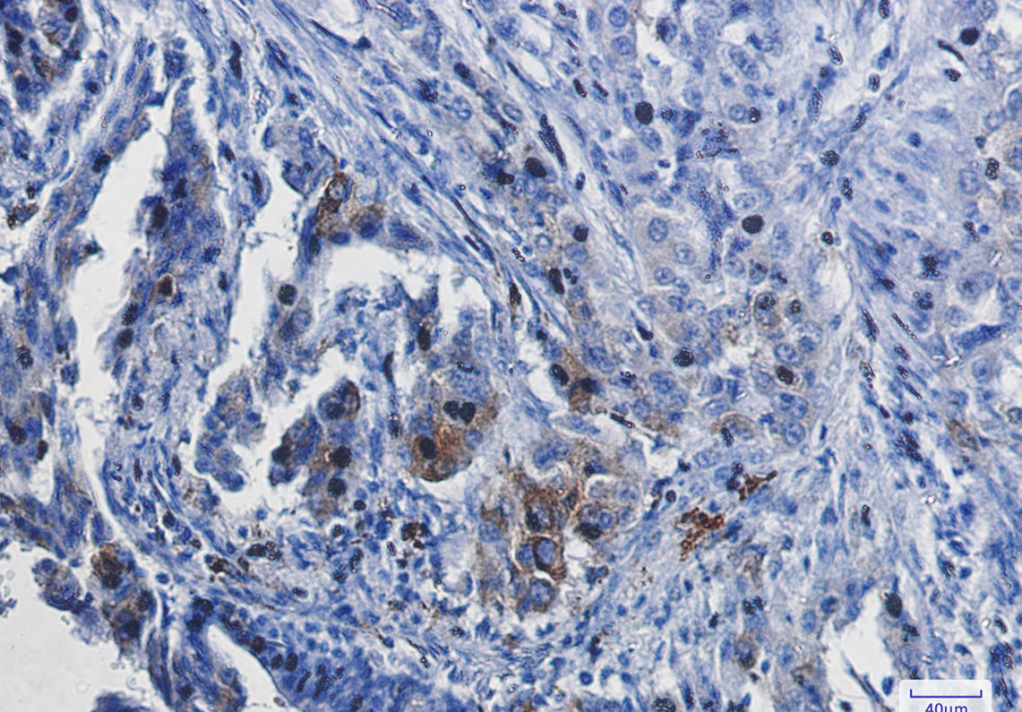
![]() |
Immunohistochemistry analysis of paraffin-embedded Human lung cancer using Heme Oxygenase 1 antibody.High-pressure and temperature Sodium Citrate pH 6.0 was used for antigen retrieval. |
本公司的所有产品仅用于科学研究或者工业应用等非医疗目的,不可用于人类或动物的临床诊断或治疗,非药用,非食用。
暂无评论
本公司的所有产品仅用于科学研究或者工业应用等非医疗目的,不可用于人类或动物的临床诊断或治疗,非药用,非食用。
中文




发表回复