别名:Histone H4应用:WB,IHC,ICC
反应种属:Human
规格:50μl/100μl
| Description |
|---|
| The chromatin fiber is further compacted through the interaction of a linker histone, H1, with the DNA between the nucleosomes to form higher order chromatin structures. This gene is intronless and encodes a member of the histone H4 family. |
| Specification | |
|---|---|
| Aliases | Histone H4 |
| Entrez GeneID | 121504 |
| Swissprot | P62805 |
| WB Predicted band size | Calculated MW: 11 kDa; Observed MW: 11 kDa |
| Host/Isotype | Rabbit IgG |
| Storage | Store at 4°C short term. Aliquot and store at -20°C long term. Avoid freeze/thaw cycles. |
| Species Reactivity | Human |
| Immunogen | A synthetic peptide of human Histone H4 |
| Formulation | 50mM Tris-Glycine(pH 7.4), 0.15M NaCl, 40% Glycerol, 0.01% Sodium azide and 0.05% BSA |
| Application | |
|---|---|
| WB | 1/500-1/1000 |
| IHC | 1/50-1/100 |
| ICC | 1/50-1/200 |
![]() |
Western blot analysis of Histone H4 in Hela lysates using Histone H4 antibody. |
![]() |
Immunocytochemistry analysis of Histone H4 (green) in Hela using Histone H4 antibody,and DAPI(blue). |
![]() |
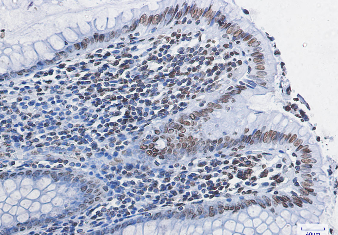
Immunohistochemistry analysis of paraffin-embedded Human colon cancer tissue using Histone H4 antibody. High-pressure and temperature Sodium Citrate pH 6.0 was used for antigen retrieval. |
本公司的所有产品仅用于科学研究或者工业应用等非医疗目的,不可用于人类或动物的临床诊断或治疗,非药用,非食用。
暂无评论
本公司的所有产品仅用于科学研究或者工业应用等非医疗目的,不可用于人类或动物的临床诊断或治疗,非药用,非食用。
中文



发表回复