别名:HNRNPK; HNRPK; Heterogeneous nuclear ribonucleoprotein K; hnRNP K; Transformation up-regulated nuclear protein; TUNP应用:WB,IHC
反应种属:Human,Mouse,Rat
规格:50μl/100μl
| Description |
|---|
| Facilitate pre-mRNA processing and transport of mRNA from the nucleus to cytoplasm. hnRNP K contains three unique structural motifs termed KH domains that bind poly(C) DNA and RNA sequences. Intricate architecture enables hnRNP K to facilitate mRNA biosynthesis, transcriptional regulation, and signal transduction. Research studies have shown that cytoplasmic hnRNP K expression is increased in oral squamous cell carcinoma and pancreatic cancer, and may be a potential prognostic factor. |
| Specification | |
|---|---|
| Aliases | HNRNPK; HNRPK; Heterogeneous nuclear ribonucleoprotein K; hnRNP K; Transformation up-regulated nuclear protein; TUNP |
| Entrez GeneID | 3190 |
| Swissprot | P61978 |
| WB Predicted band size | Calculated MW: 51 kDa; Observed MW: 62 kDa |
| Host/Isotype | Rabbit IgG |
| Storage | Store at 4°C short term. Aliquot and store at -20°C long term. Avoid freeze/thaw cycles. |
| Species Reactivity | Human,Mouse,Rat |
| Immunogen | A synthetic peptide of human hnRNP K |
| Formulation | 50mM Tris-Glycine(pH 7.4), 0.15M NaCl, 40% Glycerol, 0.01% Sodium azide and 0.05% BSA |
| Application | |
|---|---|
| WB | 1/500-1/1000 |
| IHC | 1/50-1/100 |
![]() |
Western blot analysis of hnRNP K in 3T3, PC-12 lysates using hnRNP K antibody. |
![]() |
Western blot analysis of hnRNP K in K562, PC-3, Hela lysates using hnRNP K antibody. |
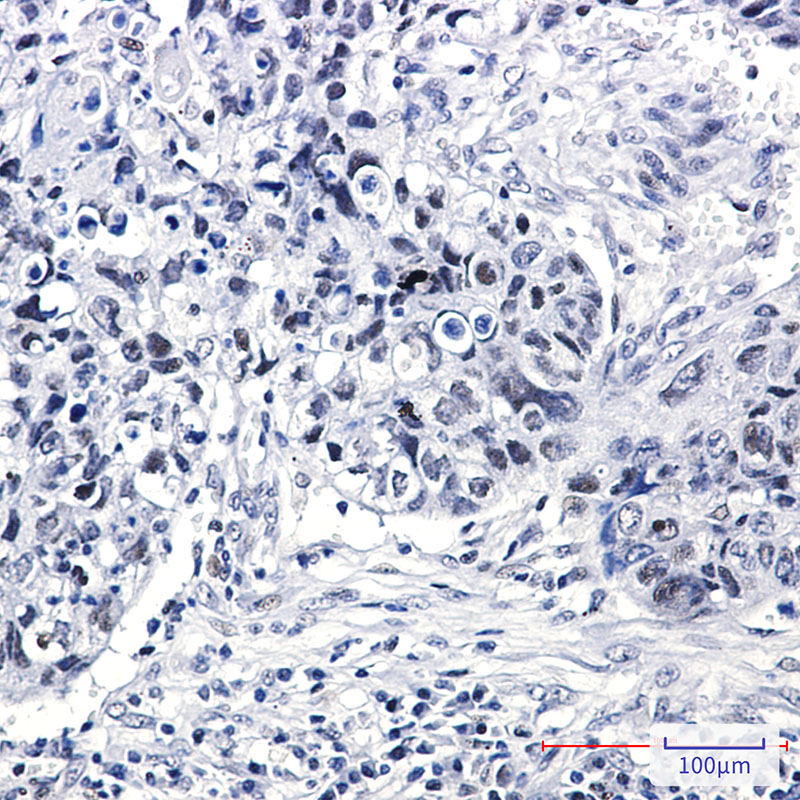
![]() |
Immunohistochemistry analysis of paraffin-embedded Human lung cancer using hnRNP K antibody. High-pressure and temperature Sodium Citrate pH 6.0 was used for antigen retrieval. |
本公司的所有产品仅用于科学研究或者工业应用等非医疗目的,不可用于人类或动物的临床诊断或治疗,非药用,非食用。
暂无评论
本公司的所有产品仅用于科学研究或者工业应用等非医疗目的,不可用于人类或动物的临床诊断或治疗,非药用,非食用。
中文



发表回复