别名:H2A.1; H2A/c; H2A1; H2AFC:; H2AFD; H2AFI; H2AFN; H2AFP; HIST1H2AG; HIST1H2AI; HIST1H2AK; HIST1H2AL; HIST1H2AM; histone cluster 1; H2ai; Histone H2A type 1; Histone H2A/p应用:WB,IHC
反应种属:Human,Mouse
规格:50μl/100μl
| Description |
|---|
| Core component of nucleosome. Nucleosomes wrap and compact DNA into chromatin, limiting DNA accessibility to the cellular machineries which require DNA as a template. Histones thereby play a central role in transcription regulation, DNA repair, DNA replication and chromosomal stability. DNA accessibility is regulated via a complex set of post-translational modifications of histones, also called histone code, and nucleosome remodeling. |
| Specification | |
|---|---|
| Aliases | H2A.1; H2A/c; H2A1; H2AFC:; H2AFD; H2AFI; H2AFN; H2AFP; HIST1H2AG; HIST1H2AI; HIST1H2AK; HIST1H2AL; HIST1H2AM; histone cluster 1; H2ai; Histone H2A type 1; Histone H2A/p |
| Entrez GeneID | 3012 |
| Swissprot | P04908 |
| WB Predicted band size | Calculated MW: 14 kDa; Observed MW: 14 kDa |
| Host/Isotype | Rabbit IgG |
| Storage | Store at 4°C short term. Aliquot and store at -20°C long term. Avoid freeze/thaw cycles. |
| Species Reactivity | Human,Mouse |
| Immunogen | A synthesized peptide derived from human Histone H2A (hydroxyl Y39) |
| Formulation | 50mM Tris-Glycine(pH 7.4), 0.15M NaCl, 40% Glycerol, 0.01% Sodium azide and 0.05% BSA |
| Application | |
|---|---|
| WB | 1/500-1/1000 |
| IHC | 1/50-1/100 |
![]() |
Western blot analysis of Hydroxyl-Histone H2A (Tyr39) in 3T3 lysates using Hydroxyl-Histone H2A (Tyr39) antibody. |
![]() |
Western blot analysis of Hydroxyl-Histone H2A (Tyr39) in Hela, A549, HL-60 lysates using Hydroxyl-Histone H2A (Tyr39) antibody.Observed band size:14kDa. |
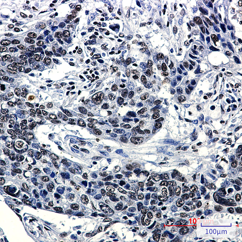
![]() |
Immunohistochemistry analysis of paraffin-embedded Human lung cancer using Hydroxyl-Histone H2A (Tyr39) antibody.High-pressure and temperature Sodium Citrate pH 6.0 was used for antigen retrieval. |
本公司的所有产品仅用于科学研究或者工业应用等非医疗目的,不可用于人类或动物的临床诊断或治疗,非药用,非食用。
暂无评论
本公司的所有产品仅用于科学研究或者工业应用等非医疗目的,不可用于人类或动物的临床诊断或治疗,非药用,非食用。
中文



发表回复