别名:ICAM1; Intercellular adhesion molecule 1; ICAM-1; Major group rhinovirus receptor; CD antigen CD54应用:WB,IHC,IP
反应种属:Human
规格:50μl/100μl
| Description |
|---|
| ICAM1 a type I membrane protein of the immunoglobulin superfamily. Is a ligand for the leukocyte adhesion LFA-1 protein (Integrin alpha-L/beta-2) and a Rhinovirus receptor. Typically expressed on endothelial cells and cells of the immune system. |
| Specification | |
|---|---|
| Aliases | ICAM1; Intercellular adhesion molecule 1; ICAM-1; Major group rhinovirus receptor; CD antigen CD54 |
| Entrez GeneID | 3383 |
| Swissprot | P05362 |
| WB Predicted band size | Calculated MW: 58 kDa; Observed MW: 89,92 kDa |
| Host/Isotype | Rabbit IgG |
| Storage | Store at 4°C short term. Aliquot and store at -20°C long term. Avoid freeze/thaw cycles. |
| Species Reactivity | Human |
| Immunogen | Recombinant protein of human ICAM1 |
| Formulation | 50mM Tris-Glycine(pH 7.4), 0.15M NaCl, 40% Glycerol, 0.01% Sodium azide and 0.05% BSA |
| Application | |
|---|---|
| IP | 1/20 |
| WB | 1/500-1/1000 |
| IHC | 1/50-1/100 |
![]() |
Western blot analysis of ICAM1 in K562, Hela lysates using ICAM1 antibody. |
![]() |
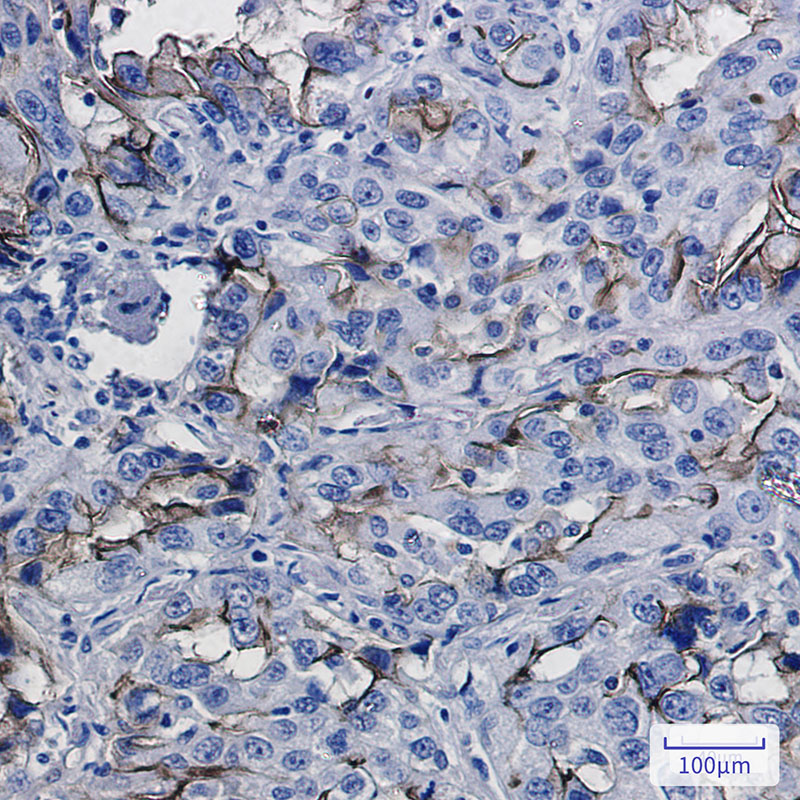
Immunohistochemistry analysis of paraffin-embedded Human lung cancer using ICAM1 antibody.High-pressure and temperature Sodium Citrate pH 6.0 was used for antigen retrieval. |
本公司的所有产品仅用于科学研究或者工业应用等非医疗目的,不可用于人类或动物的临床诊断或治疗,非药用,非食用。
暂无评论
本公司的所有产品仅用于科学研究或者工业应用等非医疗目的,不可用于人类或动物的临床诊断或治疗,非药用,非食用。
中文


发表回复