别名:IDH1; PICD; Isocitrate dehydrogenase [NADP] cytoplasmic; IDH; Cytosolic NADP-isocitrate dehydrogenase; IDP; NADP(+)-specific ICDH; Oxalosuccinate decarboxylase应用:WB,IHC,IP
反应种属:Human,Mouse,Rat
规格:50μl/100μl
| Description |
|---|
| Genetic variations are associated with cartilaginous tumors such as enchondroma or chondrosarcoma. Mutations of Arg-132 to Cys, Gly or His abolish the conversion of isocitrate to alpha-ketoglutarate. Instead, alpha-ketoglutarate is converted to R(-)-2-hydroxyglutarate. |
| Specification | |
|---|---|
| Aliases | IDH1; PICD; Isocitrate dehydrogenase [NADP] cytoplasmic; IDH; Cytosolic NADP-isocitrate dehydrogenase; IDP; NADP(+)-specific ICDH; Oxalosuccinate decarboxylase |
| Entrez GeneID | 3417 |
| Swissprot | O75874 |
| WB Predicted band size | Calculated MW: 47 kDa; Observed MW: 47 kDa |
| Host/Isotype | Rabbit IgG |
| Storage | Store at 4°C short term. Aliquot and store at -20°C long term. Avoid freeze/thaw cycles. |
| Species Reactivity | Human,Mouse,Rat |
| Immunogen | A synthetic peptide of human Isocitrate dehydrogenase |
| Formulation | 50mM Tris-Glycine(pH 7.4), 0.15M NaCl, 40% Glycerol, 0.01% Sodium azide and 0.05% BSA |
| Application | |
|---|---|
| IP | 1/20 |
| WB | 1/500-1/1000 |
| IHC | 1/50-1/100 |
![]() |
Western blot analysis of IDH1 in rat Brain, C6, 3T3, Hela lysates using IDH1 antibody. |
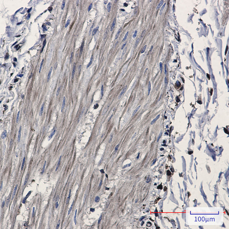
![]() |
Immunohistochemistry analysis of paraffin-embedded Human Cholangiocarcinoma using Isocitrate dehydrogenase antibody.High-pressure and temperature Sodium Citrate pH 6.0 was used for antigen retrieval. |
本公司的所有产品仅用于科学研究或者工业应用等非医疗目的,不可用于人类或动物的临床诊断或治疗,非药用,非食用。
暂无评论
本公司的所有产品仅用于科学研究或者工业应用等非医疗目的,不可用于人类或动物的临床诊断或治疗,非药用,非食用。
中文


发表回复