别名:NFKBIA; IKBA; MAD3; NFKBI; NF-kappa-B inhibitor alpha; I-kappa-B-alpha; IkB-alpha; IkappaBalpha; Major histocompatibility complex enhancer-binding protein MAD3应用:WB,IHC,IP
反应种属:Human,Mouse,Rat
规格:50μl/100μl
| Description |
|---|
| NFKB1 (MIM 164011) or NFKB2 (MIM 164012) is bound to REL (MIM 164910), RELA (MIM 164014), or RELB (MIM 604758) to form the NFKB complex. The NFKB complex is inhibited by I-kappa-B proteins (NFKBIA or NFKBIB, MIM 604495), which inactivate NF-kappa-B by trapping it in the cytoplasm. |
| Specification | |
|---|---|
| Aliases | NFKBIA; IKBA; MAD3; NFKBI; NF-kappa-B inhibitor alpha; I-kappa-B-alpha; IkB-alpha; IkappaBalpha; Major histocompatibility complex enhancer-binding protein MAD3 |
| Entrez GeneID | 4792 |
| Swissprot | P25963 |
| WB Predicted band size | Calculated MW: 36 kDa; Observed MW: 39 kDa |
| Host/Isotype | Rabbit IgG |
| Storage | Store at 4°C short term. Aliquot and store at -20°C long term. Avoid freeze/thaw cycles. |
| Species Reactivity | Human,Mouse,Rat |
| Immunogen | A synthetic peptide of human IKB alpha |
| Formulation | 50mM Tris-Glycine(pH 7.4), 0.15M NaCl, 40% Glycerol, 0.01% Sodium azide and 0.05% BSA |
| Application | |
|---|---|
| IP | 1/20 |
| WB | 1/500-1/1000 |
| IHC | 1/50-1/100 |
![]() |
Western blot analysis of IKB alpha in PC-12, C6 lysates using IKB alpha antibody. |
![]() |
Western blot analysis of IKB alpha in Raw264.7 lysates using IKB alpha antibody. |
![]() |
Western blot analysis of IKB alpha in 3T3, Hela lysates using IKB alpha antibody |
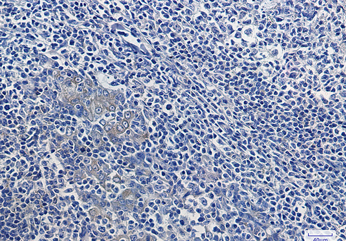
![]() |
Immunohistochemistry analysis of paraffin-embedded Human tonsil using IKB alpha antibody.High-pressure and temperature Sodium Citrate pH 6.0 was used for antigen retrieval. |
本公司的所有产品仅用于科学研究或者工业应用等非医疗目的,不可用于人类或动物的临床诊断或治疗,非药用,非食用。
暂无评论
本公司的所有产品仅用于科学研究或者工业应用等非医疗目的,不可用于人类或动物的临床诊断或治疗,非药用,非食用。
中文




发表回复