别名:GRIA2; GLUR2; Glutamate receptor 2; GluR-2; AMPA-selective glutamate receptor 2; GluR-B; GluR-K2; Glutamate receptor ionotropic; AMPA 2; GluA2应用:WB,IHC,IP
反应种属:Human,Rat
规格:50μl/100μl
| Description |
|---|
| Ionotropic glutamate receptor. L-glutamate acts as an excitatory neurotransmitter at many synapses in the central nervous system. Binding of the excitatory neurotransmitter L-glutamate induces a conformation change, leading to the opening of the cation channel, and thereby converts the chemical signal to an electrical impulse. The receptor then desensitizes rapidly and enters a transient inactive state, characterized by the presence of bound agonist. |
| Specification | |
|---|---|
| Aliases | GRIA2; GLUR2; Glutamate receptor 2; GluR-2; AMPA-selective glutamate receptor 2; GluR-B; GluR-K2; Glutamate receptor ionotropic; AMPA 2; GluA2 |
| Entrez GeneID | 2891 |
| Swissprot | P42262 |
| WB Predicted band size | Calculated MW: 99 kDa; Observed MW: 99 kDa |
| Host/Isotype | Rabbit IgG |
| Storage | Store at 4°C short term. Aliquot and store at -20°C long term. Avoid freeze/thaw cycles. |
| Species Reactivity | Human,Rat |
| Immunogen | A synthetic peptide of human Ionotropic Glutamate receptor 2 |
| Formulation | 50mM Tris-Glycine(pH 7.4), 0.15M NaCl, 40% Glycerol, 0.01% Sodium azide and 0.05% BSA |
| Application | |
|---|---|
| IP | 1/20 |
| WB | 1/500-1/1000 |
| IHC | 1/50-1/100 |
![]() |
Western blot analysis of Ionotropic Glutamate receptor 2 in C6 lysates using Ionotropic Glutamate Receptor 2 antibody. |
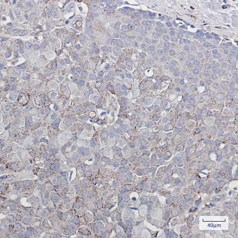
![]() |
Immunohistochemistry analysis of paraffin-embedded Human breast cancer using Ionotropic Glutamate receptor 2 antibody.High-pressure and temperature Sodium Citrate pH 6.0 was used for antigen retrieval. |
本公司的所有产品仅用于科学研究或者工业应用等非医疗目的,不可用于人类或动物的临床诊断或治疗,非药用,非食用。
暂无评论
本公司的所有产品仅用于科学研究或者工业应用等非医疗目的,不可用于人类或动物的临床诊断或治疗,非药用,非食用。
中文


发表回复