别名:IL-1 receptor-associated kinase 4; Interleukin 1 receptor associated kinase 4 mutant form 1; IPD1; IRAK4; LOC 51135; NY REN 64; REN64应用:WB,IHC,ICC
反应种属:Human
规格:50μl/100μl
| Description |
|---|
| Required for the efficient recruitment of IRAK1 to the IL-1 receptor complex following IL-1 engagement, triggering intracellular signaling cascades leading to transcriptional up-regulation and mRNA stabilization. Phosphorylates IRAK1. |
| Specification | |
|---|---|
| Aliases | IL-1 receptor-associated kinase 4; Interleukin 1 receptor associated kinase 4 mutant form 1; IPD1; IRAK4; LOC 51135; NY REN 64; REN64 |
| Entrez GeneID | 51135 |
| Swissprot | Q9NWZ3 |
| WB Predicted band size | Calculated MW: 52 kDa; Observed MW: 52 kDa |
| Host/Isotype | Rabbit IgG |
| Storage | Store at 4°C short term. Aliquot and store at -20°C long term. Avoid freeze/thaw cycles. |
| Species Reactivity | Human |
| Immunogen | A synthetic peptide of human IRAK4 |
| Formulation | 50mM Tris-Glycine(pH 7.4), 0.15M NaCl, 40% Glycerol, 0.01% Sodium azide and 0.05% BSA |
| Application | |
|---|---|
| WB | 1/500-1/1000 |
| IHC | 1/50-1/100 |
| ICC | 1/50-1/200 |
![]() |
Western blot analysis of IRAK4 in Jurkat, Hela lysates using IRAK4 antibody. |
![]() |
Immunocytochemistry analysis of IRAK4 (green) in hela using IRAK4 antibody,and DAPI(blue) |
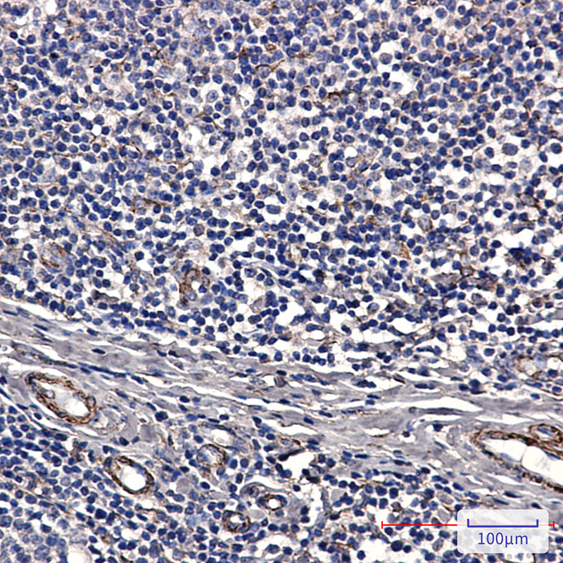
![]() |
Immunohistochemistry analysis of paraffin-embedded Human tonsil using IRAK4 antibody.High-pressure and temperature Sodium Citrate pH 6.0 was used for antigen retrieval. |
本公司的所有产品仅用于科学研究或者工业应用等非医疗目的,不可用于人类或动物的临床诊断或治疗,非药用,非食用。
暂无评论
本公司的所有产品仅用于科学研究或者工业应用等非医疗目的,不可用于人类或动物的临床诊断或治疗,非药用,非食用。
中文



发表回复