别名:TRIM28; KAP1; RNF96; TIF1B; Transcription intermediary factor 1-beta; TIF1-beta; E3 SUMO-protein ligase TRIM28; KRAB-associated protein 1; KAP-1; KRAB-interacting protein 1; KRIP-1; Nuclear corepressor KAP-1; RING finger protein 96; Tripart应用:WB,IHC,ICC
反应种属:Human,Mouse,Rat
规格:50μl/100μl
| Description |
|---|
| Nuclear corepressor for KRAB domain-containing zinc finger proteins (KRAB-ZFPs). Mediates gene silencing by recruiting CHD3, a subunit of the nucleosome remodeling and deacetylation (NuRD) complex, and SETDB1 (which specifically methylates histone H3 at ‘Lys-9’ (H3K9me)) to the promoter regions of KRAB target genes. |
| Specification | |
|---|---|
| Aliases | TRIM28; KAP1; RNF96; TIF1B; Transcription intermediary factor 1-beta; TIF1-beta; E3 SUMO-protein ligase TRIM28; KRAB-associated protein 1; KAP-1; KRAB-interacting protein 1; KRIP-1; Nuclear corepressor KAP-1; RING finger protein 96; Tripart |
| Entrez GeneID | 10155 |
| Swissprot | Q13263 |
| WB Predicted band size | Calculated MW: 89 kDa; Observed MW: 100 kDa |
| Host/Isotype | Rabbit IgG |
| Storage | Store at 4°C short term. Aliquot and store at -20°C long term. Avoid freeze/thaw cycles. |
| Species Reactivity | Human,Mouse,Rat |
| Immunogen | A synthetic peptide of human KAP1 |
| Formulation | 50mM Tris-Glycine(pH 7.4), 0.15M NaCl, 40% Glycerol, 0.01% Sodium azide and 0.05% BSA |
| Application | |
|---|---|
| WB | 1/500-1/1000 |
| IHC | 1/50-1/100 |
| ICC | 1/50-1/200 |
![]() |
Western blot analysis of KAP1 in K562, C6, 3T3, Hela lysates using KAP1 antibody. |
![]() |
Immunocytochemistry analysis of KAP1(green) in Hela using KAP1 antibody,and DAPI(blue) |
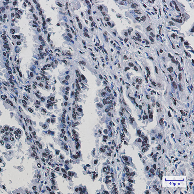
![]() |
Immunohistochemistry analysis of paraffin-embedded Human lung cancer using KAP1 antibody. High-pressure and temperature Sodium Citrate pH 6.0 was used for antigen retrieval. |
本公司的所有产品仅用于科学研究或者工业应用等非医疗目的,不可用于人类或动物的临床诊断或治疗,非药用,非食用。
暂无评论
本公司的所有产品仅用于科学研究或者工业应用等非医疗目的,不可用于人类或动物的临床诊断或治疗,非药用,非食用。
中文



发表回复