别名:KNS; KINH; KNS1; UKHC; HEL-S-61应用:WB,IHC,ICC,IP
反应种属:Human,Mouse,Rat
规格:50μl/100μl
| Description |
|---|
| Microtubule-dependent motor required for normal distribution of mitochondria and lysosomes. Can induce formation of neurite-like membrane protrusions in non-neuronal cells in a ZFYVE27-dependent manner . Regulates centrosome and nuclear positioning during mitotic entry. During the G2 phase of the cell cycle in a BICD2-dependent manner, antagonizes dynein function and drives the separation of nuclei and centrosomes (PubMed:20386726). Required for anterograde axonal transportation of MAPK8IP3/JIP3 which is essential for MAPK8IP3/JIP3 function in axon elongation . |
| Specification | |
|---|---|
| Aliases | KNS; KINH; KNS1; UKHC; HEL-S-61 |
| Entrez GeneID | 3799 |
| Swissprot | P33176 |
| WB Predicted band size | Calculated MW: 110 kDa; Observed MW: 110 kDa |
| Host/Isotype | Rabbit IgG |
| Storage | Store at 4°C short term. Aliquot and store at -20°C long term. Avoid freeze/thaw cycles. |
| Species Reactivity | Human,Mouse,Rat |
| Immunogen | A synthetic peptide of human KIF5B |
| Formulation | 50mM Tris-Glycine(pH 7.4), 0.15M NaCl, 40% Glycerol, 0.01% Sodium azide and 0.05% BSA |
| Application | |
|---|---|
| IP | 1/20 |
| WB | 1/500-1/1000 |
| IHC | 1/50-1/100 |
| ICC | 1/50-1/200 |
![]() |
Western blot analysis of KIF5B in mouse brain, rat brain lysates using KIF5B antibody. |
![]() |
Western blot analysis of KIF5B in Hela, MCF-7, U251MG, K562 lysates using KIF5B antibody. |
![]() |
Immunocytochemistry analysis of KIF5B (green) in Hela using KIF5B antibody,and DAPI(blue). |
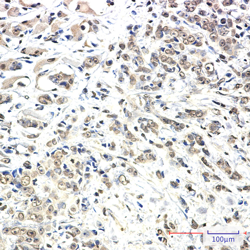
![]() |
Immunohistochemistry analysis of paraffin-embedded Human breast cancer using KIF5B antibody. High-pressure and temperature Sodium Citrate pH 6.0 was used for antigen retrieval. |
本公司的所有产品仅用于科学研究或者工业应用等非医疗目的,不可用于人类或动物的临床诊断或治疗,非药用,非食用。
暂无评论
本公司的所有产品仅用于科学研究或者工业应用等非医疗目的,不可用于人类或动物的临床诊断或治疗,非药用,非食用。
中文




发表回复