别名:LDHA; LDH-M; LDH1; PIG19; GSD11; TRG5; Proliferation inducing gene 19应用:WB,IHC,ICC,IP
反应种属:Human,Mouse,Rat
规格:50μl/100μl
| Description |
|---|
| Lactate dehydrogenase (LDH) catalyzes the interconversion of pyruvate and NADH to lactate and NAD+. When the oxygen supply is too low for mitochondrial ATP production, this reaction recycles NADH generated in glycolysis to NAD+, which reenters glycolysis. The major form of LDH found in muscle cells is the A (LDHA) isozyme. |
| Specification | |
|---|---|
| Aliases | LDHA; LDH-M; LDH1; PIG19; GSD11; TRG5; Proliferation inducing gene 19 |
| Entrez GeneID | 3939 |
| Swissprot | P00338 |
| WB Predicted band size | Calculated MW: 37 kDa; Observed MW: 37 kDa |
| Host/Isotype | Rabbit IgG |
| Storage | Store at 4°C short term. Aliquot and store at -20°C long term. Avoid freeze/thaw cycles. |
| Species Reactivity | Human,Mouse,Rat |
| Immunogen | A synthetic peptide of human Lactate Dehydrogenase |
| Formulation | 50mM Tris-Glycine(pH 7.4), 0.15M NaCl, 40% Glycerol, 0.01% Sodium azide and 0.05% BSA |
| Application | |
|---|---|
| IP | 1/20 |
| WB | 1/500-1/1000 |
| IHC | 1/50-1/100 |
| ICC | 1/50-1/200 |
![]() |
Western blot analysis of LDHA in K562, rat Brain, C6, 3T3, Hela lysates using Lactate Dehydrogenase A antibody. |
![]() |
Immunocytochemistry analysis of Lactate Dehydrogenase(green) in Hela using Lactate Dehydrogenase antibody,and DAPI(blue) |
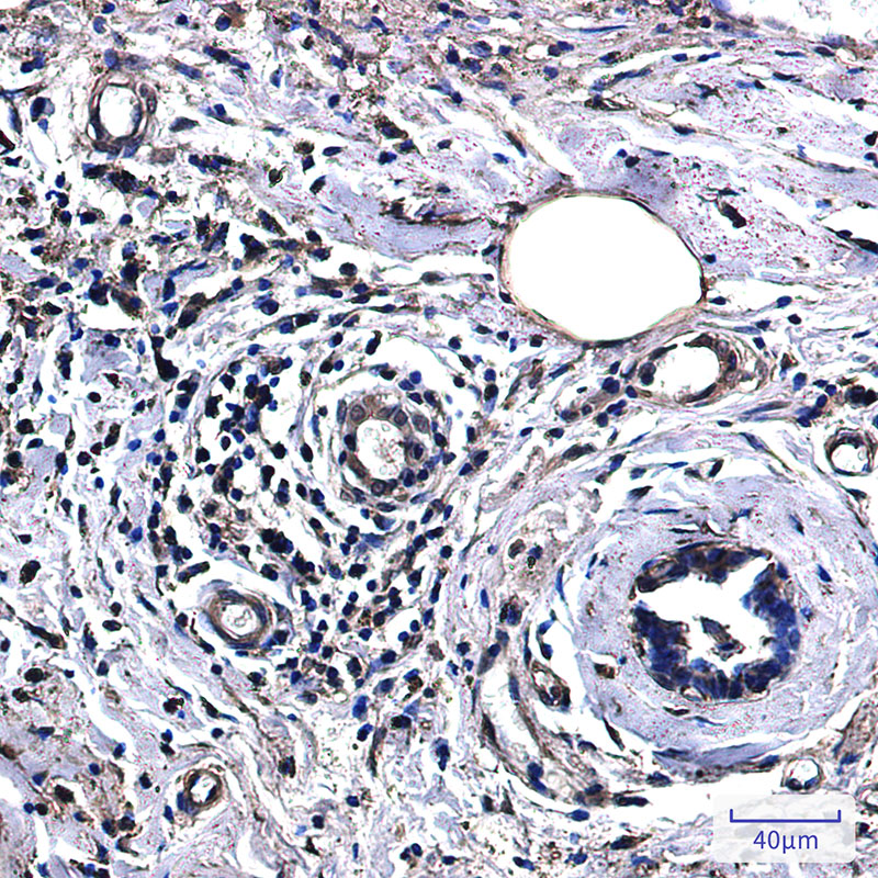
![]() |
Immunohistochemistry analysis of paraffin-embedded Human breast cancer using Lactate Dehydrogenase antibody. High-pressure and temperature Sodium Citrate pH 6.0 was used for antigen retrieval. |
本公司的所有产品仅用于科学研究或者工业应用等非医疗目的,不可用于人类或动物的临床诊断或治疗,非药用,非食用。
暂无评论
本公司的所有产品仅用于科学研究或者工业应用等非医疗目的,不可用于人类或动物的临床诊断或治疗,非药用,非食用。
中文



发表回复