别名:LAMP2; Lysosome-associated membrane glycoprotein 2; LAMP-2; Lysosome-associated membrane protein 2; CD107 antigen-like family member B; CD107b应用:WB,IHC,IP
反应种属:Human,Mouse
规格:50μl/100μl
| Description |
|---|
| Lysosomal-associated membrane protein 2 (LAMP2, synonyms: LAMPB, CD107b) is a member of a family of membrane glycoproteins. This glycoprotein provides selectins with carbohydrate ligands. LAMP2 may plays a role in tumor cell metastasis. It may also functions in the protection, maintenance, and adhesion of the lysosome.Prior to posttranslational modification, Lysosome Associated Membrane Protein 2 (LAMP2) is a ~45 kDa polypeptide. |
| Specification | |
|---|---|
| Aliases | LAMP2; Lysosome-associated membrane glycoprotein 2; LAMP-2; Lysosome-associated membrane protein 2; CD107 antigen-like family member B; CD107b |
| Entrez GeneID | 3920 |
| Swissprot | P13473 |
| WB Predicted band size | Calculated MW: 45 kDa; Observed MW: 110 kDa |
| Host/Isotype | Rabbit IgG |
| Storage | Store at 4°C short term. Aliquot and store at -20°C long term. Avoid freeze/thaw cycles. |
| Species Reactivity | Human,Mouse |
| Immunogen | A synthetic peptide of human LAMP2A |
| Formulation | 50mM Tris-Glycine(pH 7.4), 0.15M NaCl, 40% Glycerol, 0.01% Sodium azide and 0.05% BSA |
| Application | |
|---|---|
| IP | 1/20 |
| WB | 1/500-1/1000 |
| IHC | 1/50-1/100 |
![]() |
Western blot analysis of LAMP2 in 3T3 lysates using LAMP2A antibody. |
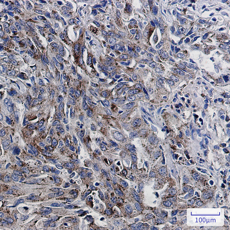
![]() |
Immunohistochemistry analysis of paraffin-embedded Human lung cancer using LAMP2 antibody.High-pressure and temperature Sodium Citrate pH 6.0 was used for antigen retrieval. |
本公司的所有产品仅用于科学研究或者工业应用等非医疗目的,不可用于人类或动物的临床诊断或治疗,非药用,非食用。
暂无评论
本公司的所有产品仅用于科学研究或者工业应用等非医疗目的,不可用于人类或动物的临床诊断或治疗,非药用,非食用。
中文


发表回复