别名:Microtubule-associated proteins 1A/1B light chain 3A; Autophagy-related protein LC3 A; Autophagy-related ubiquitin-like modifier LC3 A; MAP1 light chain 3-like protein 1; MAP1A/MAP1B light chain 3 A; MAP1A/MAP1B LC3 A; Microtubule-associated protein 1 light chain 3 alpha应用:WB,IHC,IP
反应种属:Human,Mouse,Rat
规格:50μl/100μl
| Description |
|---|
| Autophagy marker Light Chain 3 (LC3) was originally identified as a subunit of microtubule-associated proteins 1A and 1B (termed MAP1LC3), and subsequently found to contain similarity to the yeast protein Apg8/Aut7/Cvt5 critical for autophagy. Three human LC3 isoforms (LC3A, LC3B, and LC3C) undergo post-translational modifications during autophagy. Cleavage of LC3 at the carboxy terminus immediately following synthesis yields the cytosolic LC3-I form. |
| Specification | |
|---|---|
| Aliases | Microtubule-associated proteins 1A/1B light chain 3A; Autophagy-related protein LC3 A; Autophagy-related ubiquitin-like modifier LC3 A; MAP1 light chain 3-like protein 1; MAP1A/MAP1B light chain 3 A; MAP1A/MAP1B LC3 A; Microtubule-associated protein 1 light chain 3 alpha |
| Entrez GeneID | 84557 |
| Swissprot | Q9H492 |
| WB Predicted band size | Calculated MW: 14 kDa; Observed MW: 14,16 kDa |
| Host/Isotype | Rabbit IgG |
| Storage | Store at 4°C short term. Aliquot and store at -20°C long term. Avoid freeze/thaw cycles. |
| Species Reactivity | Human,Mouse,Rat |
| Immunogen | A synthetic peptide of human MAP1LC3A |
| Formulation | 50mM Tris-Glycine(pH 7.4), 0.15M NaCl, 40% Glycerol, 0.01% Sodium azide and 0.05% BSA |
| Application | |
|---|---|
| IP | 1/20 |
| WB | 1/500-1/1000 |
| IHC | 1/50-1/100 |
![]() |
Western blot analysis of LC3A in 3T3, mouse heart, mouse brain lysates using LC3A antibody. |
![]() |
Western blot analysis of LC3A in K562, rat Brain, Hela lysates using LC3A antibody. |
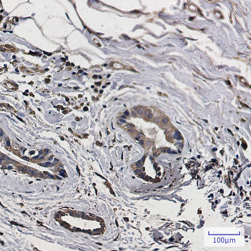
![]() |
Immunohistochemistry analysis of paraffin-embedded Human breast cancer using LC3A antibody. High-pressure and temperature Sodium Citrate pH 6.0 was used for antigen retrieval. |
本公司的所有产品仅用于科学研究或者工业应用等非医疗目的,不可用于人类或动物的临床诊断或治疗,非药用,非食用。
暂无评论
本公司的所有产品仅用于科学研究或者工业应用等非医疗目的,不可用于人类或动物的临床诊断或治疗,非药用,非食用。
中文



发表回复