别名:MMP3; STMY1; Stromelysin-1; SL-1; Matrix metalloproteinase-3; MMP-3; Transin-1应用:WB,IHC
反应种属:Human,Mouse,Rat
规格:50μl/100μl
| Description |
|---|
| MMP3 Can degrade fibronectin, laminin, gelatins of type I, III, IV, and V; collagens III, IV, X, and IX, and cartilage proteoglycans. Activates procollagenase. Belongs to the peptidase M10A family. |
| Specification | |
|---|---|
| Aliases | MMP3; STMY1; Stromelysin-1; SL-1; Matrix metalloproteinase-3; MMP-3; Transin-1 |
| Entrez GeneID | 4314 |
| Swissprot | P08254 |
| WB Predicted band size | Calculated MW: 54 kDa; Observed MW: 54 kDa |
| Host/Isotype | Rabbit IgG |
| Storage | Store at 4°C short term. Aliquot and store at -20°C long term. Avoid freeze/thaw cycles. |
| Species Reactivity | Human,Mouse,Rat |
| Immunogen | A synthetic peptide of human MMP3 |
| Formulation | 50mM Tris-Glycine(pH 7.4), 0.15M NaCl, 40% Glycerol, 0.01% Sodium azide and 0.05% BSA |
| Application | |
|---|---|
| WB | 1/500-1/1000 |
| IHC | 1/50-1/100 |
![]() |
Western blot analysis of MMP3 in rat Brain, C6, 3T3 lysates using MMP3 antibody. |
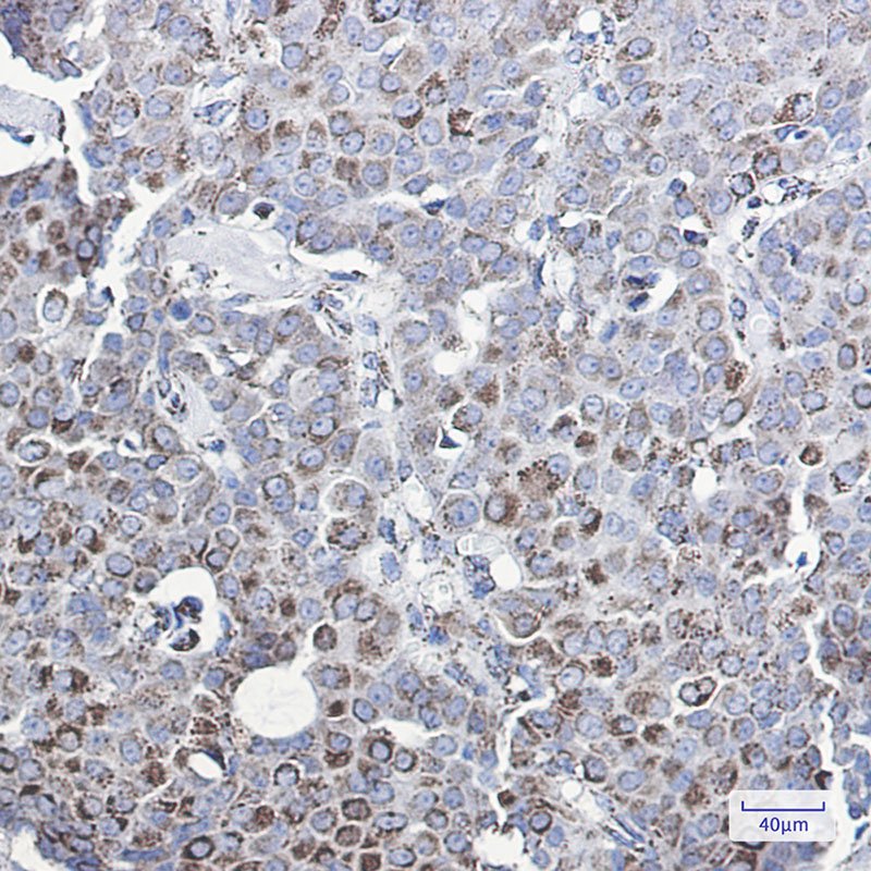
![]() |
Immunohistochemistry analysis of paraffin-embedded Human breast cancer using MMP3 antibody.High-pressure and temperature Sodium Citrate pH 6.0 was used for antigen retrieval. |
本公司的所有产品仅用于科学研究或者工业应用等非医疗目的,不可用于人类或动物的临床诊断或治疗,非药用,非食用。
暂无评论
本公司的所有产品仅用于科学研究或者工业应用等非医疗目的,不可用于人类或动物的临床诊断或治疗,非药用,非食用。
中文


发表回复