别名:MSN; Moesin; Membrane-organizing extension spike protein; RDX; Radixin; EZR; VIL2; Ezrin; Cytovillin; Villin-2; p81应用:WB,IHC,IP
反应种属:Human,Mouse,Rat,Hamster
规格:50μl/100μl
| Description |
|---|
| The ezrin, radixin, and moesin (ERM) proteins function as linkers between the plasma membrane and the actin cytoskeleton and are involved in cell adhesion, membrane ruffling, and microvilli formation. ERM proteins undergo intra or intermolecular interaction between their amino- and carboxy-terminal domains, existing as inactive cytosolic monomers or dimers. |
| Specification | |
|---|---|
| Aliases | MSN; Moesin; Membrane-organizing extension spike protein; RDX; Radixin; EZR; VIL2; Ezrin; Cytovillin; Villin-2; p81 |
| Entrez GeneID | 4478 |
| Swissprot | P26038 |
| WB Predicted band size | Calculated MW: 68 kDa; Observed MW: 68 kDa |
| Host/Isotype | Rabbit IgG |
| Storage | Store at 4°C short term. Aliquot and store at -20°C long term. Avoid freeze/thaw cycles. |
| Species Reactivity | Human,Mouse,Rat,Hamster |
| Immunogen | A synthetic peptide of human Moesin |
| Formulation | 50mM Tris-Glycine(pH 7.4), 0.15M NaCl, 40% Glycerol, 0.01% Sodium azide and 0.05% BSA |
| Application | |
|---|---|
| IP | 1/20 |
| WB | 1/500-1/1000 |
| IHC | 1/50-1/100 |
![]() |
Western blot analysis of Moesin in mouse heart lysates using Moesin antibody. |
![]() |
Western blot analysis of Moesin in CHO-K1, C6, Jurkat lysates using Moesin antibody. |
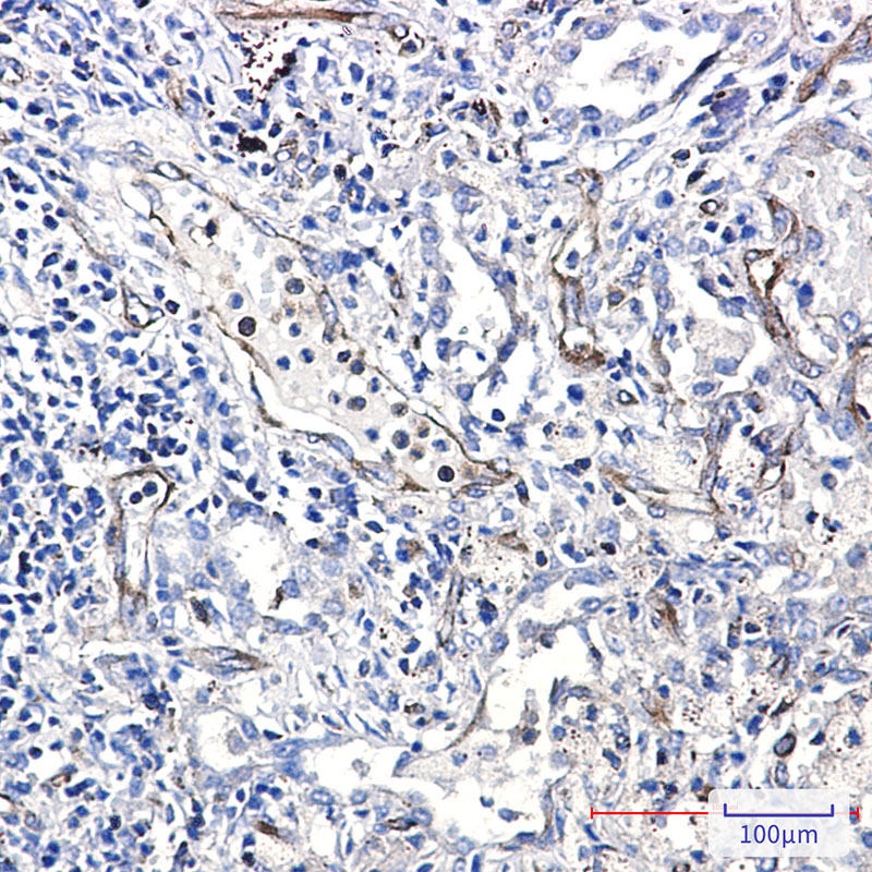
![]() |
Immunohistochemistry analysis of paraffin-embedded Human lung cancer using Moesin antibody. High-pressure and temperature Sodium Citrate pH 6.0 was used for antigen retrieval. |
本公司的所有产品仅用于科学研究或者工业应用等非医疗目的,不可用于人类或动物的临床诊断或治疗,非药用,非食用。
暂无评论
本公司的所有产品仅用于科学研究或者工业应用等非医疗目的,不可用于人类或动物的临床诊断或治疗,非药用,非食用。
中文



发表回复