别名:MSH6; GTBP; DNA mismatch repair protein Msh6; hMSH6; G/T mismatch-binding protein; GTBP; GTMBP; MutS-alpha 160 kDa subunit; p160应用:WB,IHC,ICC
反应种属:Human,Mouse,Rat
规格:50μl/100μl
| Description |
|---|
| The DNA mismatch repair system (MMR) repairs post-replication DNA, inhibits recombination between nonidentical DNA sequences, and induces both checkpoint and apoptotic responses following certain types of DNA damage. MSH2 (MutS homologue 2) forms the hMutS-α dimer with MSH6 and is an essential component of the mismatch repair process. |
| Specification | |
|---|---|
| Aliases | MSH6; GTBP; DNA mismatch repair protein Msh6; hMSH6; G/T mismatch-binding protein; GTBP; GTMBP; MutS-alpha 160 kDa subunit; p160 |
| Entrez GeneID | 2956 |
| Swissprot | P52701 |
| WB Predicted band size | Calculated MW: 153 kDa; Observed MW: 163 kDa |
| Host/Isotype | Rabbit IgG |
| Storage | Store at 4°C short term. Aliquot and store at -20°C long term. Avoid freeze/thaw cycles. |
| Species Reactivity | Human,Mouse,Rat |
| Immunogen | A synthetic peptide of human MSH6 |
| Formulation | 50mM Tris-Glycine(pH 7.4), 0.15M NaCl, 40% Glycerol, 0.01% Sodium azide and 0.05% BSA |
| Application | |
|---|---|
| WB | 1/500-1/1000 |
| IHC | 1/50-1/100 |
| ICC | 1/50-1/200 |
![]() |
Western blot analysis of MSH6 in K562, C6, 3T3, Hela lysates using MSH6 antibody. |
![]() |
Immunocytochemistry analysis of MSH6(green) in Hela using MSH6 antibody,and DAPI(blue) |
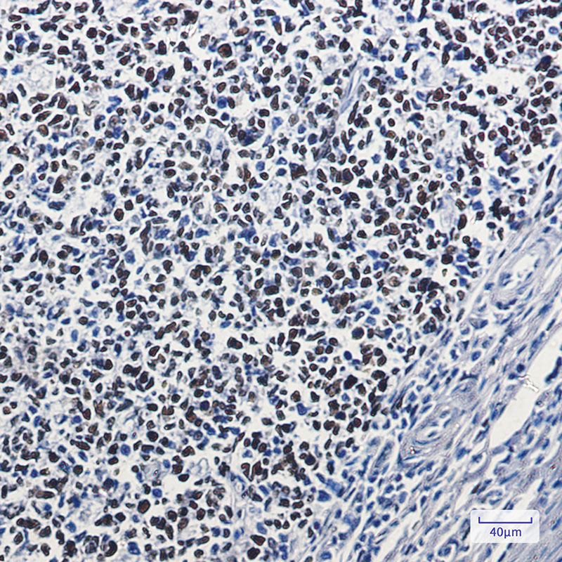
![]() |
Immunohistochemistry analysis of paraffin-embedded Human tonsil using MSH6 antibody. High-pressure and temperature Sodium Citrate pH 6.0 was used for antigen retrieval. |
本公司的所有产品仅用于科学研究或者工业应用等非医疗目的,不可用于人类或动物的临床诊断或治疗,非药用,非食用。
暂无评论
本公司的所有产品仅用于科学研究或者工业应用等非医疗目的,不可用于人类或动物的临床诊断或治疗,非药用,非食用。
中文



发表回复