别名:NFKB3; RELA; TF65; Transcription factor p65; p65; NFkB应用:WB,IHC,ICC,IP
反应种属:Human,Mouse
规格:50μl/100μl
| Description |
|---|
| NFKB1 (MIM 164011) or NFKB2 (MIM 164012) is bound to REL (MIM 164910), RELA, or RELB (MIM 604758) to form the NFKB complex. The p50 (NFKB1)/p65 (RELA) heterodimer is the most abundant form of NFKB. The NFKB complex is inhibited by I-kappa-B proteins (NFKBIA, MIM 164008 or NFKBIB, MIM 604495), which inactivate NFKB by trapping it in the cytoplasm. |
| Specification | |
|---|---|
| Aliases | NFKB3; RELA; TF65; Transcription factor p65; p65; NFkB |
| Entrez GeneID | 5970 |
| Swissprot | Q04206 |
| WB Predicted band size | Calculated MW: 60 kDa; Observed MW: 65 kDa |
| Host/Isotype | Rabbit IgG |
| Storage | Store at 4°C short term. Aliquot and store at -20°C long term. Avoid freeze/thaw cycles. |
| Species Reactivity | Human,Mouse |
| Immunogen | A synthetic peptide of human NF-kB p65 |
| Formulation | 50mM Tris-Glycine(pH 7.4), 0.15M NaCl, 40% Glycerol, 0.01% Sodium azide and 0.05% BSA |
| Application | |
|---|---|
| IP | 1/20 |
| WB | 1/500-1/1000 |
| IHC | 1/50-1/100 |
| ICC | 1/50-1/200 |
![]() |
Western blot analysis of NF-KB p65 in Hela lysates using NF-KB p65 antibody. |
![]() |
Western blot analysis of NF-KB p65 in K562, 3T3, Hela lysates using NF-KB p65 antibody. |
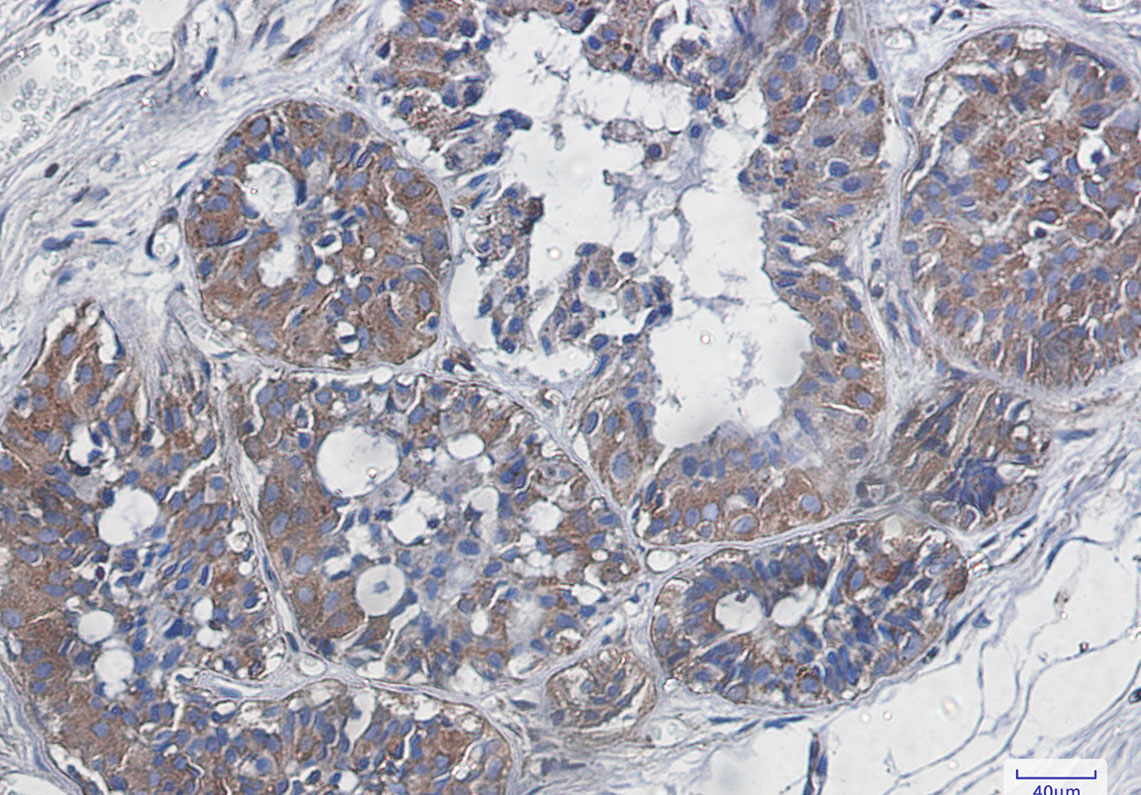
![]() |
Immunohistochemistry analysis of paraffin-embedded Human breast cancer using NF-KB p65 antibody. High-pressure and temperature Sodium Citrate pH 6.0 was used for antigen retrieval. |
本公司的所有产品仅用于科学研究或者工业应用等非医疗目的,不可用于人类或动物的临床诊断或治疗,非药用,非食用。
暂无评论
本公司的所有产品仅用于科学研究或者工业应用等非医疗目的,不可用于人类或动物的临床诊断或治疗,非药用,非食用。
中文



发表回复