别名:CDKN2; p33(CDK2)应用:WB,IHC,IP
反应种属:Human
规格:50μl/100μl
| Description |
|---|
| Cdk2 is a member of the Ser/Thr protein kinase family. It is highly similar to the gene products of S. cerevisiae cdc28, and S. pombe cdc2. Cdk2 is closely related to cdc2 (cdk1) which has proved useful as a marker of proliferation. Cdk1 and Cdk2 are a catalytic subunits of the highly conserved protein kinase complex known as M-phase promoting factor (MPF), which is essential for G1/S and G2/M phase transitions of eukaryotic cell cycle. |
| Specification | |
|---|---|
| Aliases | CDKN2; p33(CDK2) |
| Entrez GeneID | 983/1017 |
| Swissprot | P06493/P24941 |
| WB Predicted band size | Calculated MW: 34 kDa; Observed MW: 34 kDa |
| Host/Isotype | Rabbit IgG |
| Storage | Store at 4°C short term. Aliquot and store at -20°C long term. Avoid freeze/thaw cycles. |
| Species Reactivity | Human |
| Immunogen | A synthetic phosphopeptide corresponding to residues surrounding Thr14 of human Cdk1/2 |
| Formulation | 50mM Tris-Glycine(pH 7.4), 0.15M NaCl, 40% Glycerol, 0.01% Sodium azide and 0.05% BSA |
| Application | |
|---|---|
| IP | 1/20 |
| WB | 1/500-1/1000 |
| IHC | 1/50-1/100 |
![]() |
Western blot analysis of Cdk1/2 (Phospho-Thr14) in HepG2, U2OS, U251 lysates using Phospho-CDK1/2 (Thr14) antibody. |
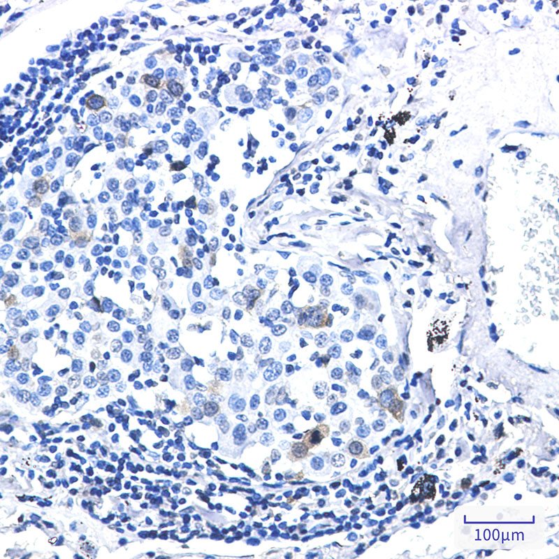
![]() |
Immunohistochemistry analysis of paraffin-embedded Human lung cancer using Cdk1/2 (Phospho-Thr14) antibody.High-pressure and temperature Sodium Citrate pH 6.0 was used for antigen retrieval. |
本公司的所有产品仅用于科学研究或者工业应用等非医疗目的,不可用于人类或动物的临床诊断或治疗,非药用,非食用。
暂无评论
本公司的所有产品仅用于科学研究或者工业应用等非医疗目的,不可用于人类或动物的临床诊断或治疗,非药用,非食用。
中文


发表回复