别名:CDK2; CDKN2; Cyclin-dependent kinase 2; Cell division protein kinase 2; p33 protein kinase应用:WB,IHC,IP
反应种属:Human
规格:50μl/100μl
| Description |
|---|
| The protein encoded by this gene is a member of the Ser/Thr protein kinase family. This protein is a catalytic subunit of the highly conserved protein kinase complex known as M-phase promoting factor (MPF), which is essential for G1/S and G2/M phase transitions of eukaryotic cell cycle. |
| Specification | |
|---|---|
| Aliases | CDK2; CDKN2; Cyclin-dependent kinase 2; Cell division protein kinase 2; p33 protein kinase |
| Entrez GeneID | 1017 |
| Swissprot | P24941 |
| WB Predicted band size | Calculated MW: 34 kDa; Observed MW: 34 kDa |
| Host/Isotype | Rabbit IgG |
| Storage | Store at 4°C short term. Aliquot and store at -20°C long term. Avoid freeze/thaw cycles. |
| Species Reactivity | Human |
| Immunogen | A synthetic phosphopeptide corresponding to residues surrounding Thr14 of human Cdk2 |
| Formulation | 50mM Tris-Glycine(pH 7.4), 0.15M NaCl, 40% Glycerol, 0.01% Sodium azide and 0.05% BSA |
| Application | |
|---|---|
| IP | 1/20 |
| WB | 1/500-1/1000 |
| IHC | 1/50-1/100 |
![]() |
Western blot analysis of Cdk2 (Phospho-Thr14) in Hela, A549, HL-60, U2OS lysates using Phospho-CDK2 (Thr14) antibody. |
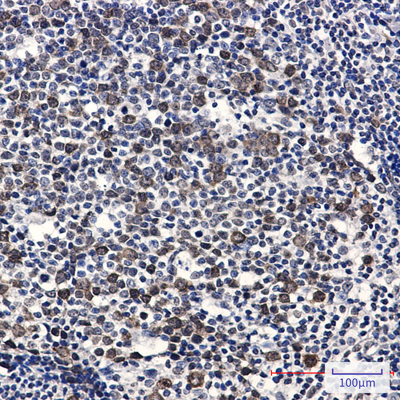
![]() |
Immunohistochemistry analysis of paraffin-embedded Human tonsil using Cdk2 (Phospho-Thr14) antibody.High-pressure and temperature Sodium Citrate pH 6.0 was used for antigen retrieval. |
本公司的所有产品仅用于科学研究或者工业应用等非医疗目的,不可用于人类或动物的临床诊断或治疗,非药用,非食用。
暂无评论
本公司的所有产品仅用于科学研究或者工业应用等非医疗目的,不可用于人类或动物的临床诊断或治疗,非药用,非食用。
中文


发表回复